MAGICAL All on FOUR: chirurg, zubní lékař a zubní technik představují svůj unikátní postup
Vše začalo v roce 2014, kdy jsem přednášel na konferenci v Zagrebu o využití PEEK materiálu pro šroubovatelné práce a o tom, jaké přinášejí benefi ty. Po skončení přednášky se v zadní části přednáškového sálu o kapacitě do 100 účastníků ozval dotaz jednoho urostlého lékaře:

Ivan: „Jestliže je tedy PEEK, jak zde říkáte, elastický jako kost. Nemůže se tedy decementovat od titanových bází?“
I přesto, že jsem se nedokázal v té době opřít o klinické zkušenosti a má odpověď tedy nemohla být uspokojivá, netrvalo dlouho a Ivan si mě pozval na kliniku do Zagrebu vyhotovit „Live Case“ z tohoto atraktivního materiálu. Na klinice působil se svým bratrem chirurgem Stankem a lékařským a laboratorním týmem. Po návratu ze Spojených států společně vybudovali vyhlášenou kliniku, čítající desítky implantologických řešení měsíčně. Cílem mé návštěvy bylo spoluvytvořit funkční workfl ow na reálném případu za pomoci systému Amann Girrbach zahrnující obličejový oblouk, artikulátor, skener, frézovací přístroje a další zařízení této sofi stikované produktové řady.
Příběh „Nino“
Na počátku příběhu stál pacient Nino, který přišel do ordinace s přáním vyřešit neutěšenou situaci ve svých ústech – bohužel se nikdy moc nestaral o svůj chrup. Nino chtěl získat zpět svůj sebevědomý úsměv a usmívat se hezky na svou ženu. Situace však nebyla růžová a se snímatelnou protézou by Nino zpět své sebevědomí nezískal a nebylo to pro něj dlouhodobé řešení.
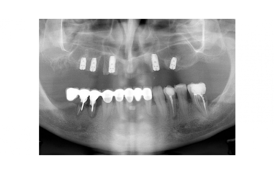
Stanko: „V tomto případě Nino vyjádřil přání zahájit ošetření pouze v horní čelisti. Prvním krokem v našem postupu bylo zhotovit panoramatický RTG snímek a CT sken. Na panoramatickém RTG snímku vidíme mnoho problémů se stávajícími zuby. Nino měl závažnou parodontózu, která postihovala všechny zuby v horní i dolní čelisti. Mnoho zubů zde selhávalo vlivem zubního kazu a dřívějších špatných dentálních náhrad. Jedinou schůdnou možností bylo extrahovat Ninovi všechny zuby v horní čelisti a rehabilitovat celý oblouk. Poté jsme promluvili s Ninem a vysvětlili mu problémy, které měl v horní čelisti a možnosti ošetření. Všichni jsme se shodli na tom, že by pro něj byla nejlepší možností náhrada kotvená šroubky. Poté jsme udělali CT sken Ninovy horní čelisti za účelem vyhodnocení našich chirurgických možností.“
Stanko se bez pomoci navigačních šablon zhostil chirurgického zákroku hned při příští návštěvě Nina.
Stanko: „V době zákroku u Nina bylo naším chirurgickým protokolem zavedení 6 implantátů bez okamžitého zatížení se snímatelnou provizorní náhradou a po době hojení 3–4 měsíce reoperační umístění vhojovacích abutmentů. V Ninově případě jsme měli velmi omezený objem kosti a bylo naplánováno umístění jen 5 kratších implantátů, v případě nutnosti s augmentací sinus liftu. Nebyl brán zřetel na primární stabilitu implantátů, protože náš protokol v danou chvíli nespočíval v jejich okamžitém zatížení.“
Operace proběhla bez komplikací, nezabrala více než hodinu a plachý pacient se odebral domů za svou ženou, která byla hlavním důvodem, proč Nino operace podstoupil. Já jsem se s ním setkal až o čtyři měsíce později.
Publikováno: Digital 1/2018
Buďte v obraze
Chcete mít pravidelný přehled o nových článcích na tomto webu, akcích a dalších novinkách? Přihlaste se k odběru newsletteru.
Odesláním souhlasíte s našimi zásadami zpracování osobních údajů.
Zaujala vás ukázka článku?
Celý článek můžete prostudovat v časopisu Digital
Prohlédněte/stáhněte si celý časopis ve formátu PDF ❯
Články
1. 12. 2025 | Implantologie
Aspergilóza je nejčastější příčinou oportunních mykotických infekcí u imunokompromitovaných jedinců a může být klasifikována jako invazivní nebo neinvazivní.
Články
14. 11. 2025 | Implantologie
Digitální pracovní postupy ve stomatologii přinesly revoluci v přístupu odborníků ke složitým zákrokům – zlepšují přesnost, efektivitu a dosažené klinické výsledky. Mezi digitálními inovacemi se výrazně prosazují systémy pro plnou navigaci...
Články
3. 6. 2025 | Obecná stomatologie
Třicetiletý celkově zdravý pacient žádal o opravu nevyhovující kompozitní rekonstrukce provedené před 10 lety po traumatu zubu 11. Postižený zub v rámci klinického vyšetření reagoval pozitivně na test vitality. Na rentgenovém snímku nebyla objevena periapikální léze. Klinická korunka vykazovala nežádoucí zbarvení a nacházela se více palatinálně než kontralaterální řezák 21.













