Popření tří největších mýtů v endodoncii
Po více než dekádě praxe v oboru endodoncie jsem slyšela mnoho endodontických mýtů, kterým zubní lékaři běžně věří. Příliš často si zubní lékaři myslí že:
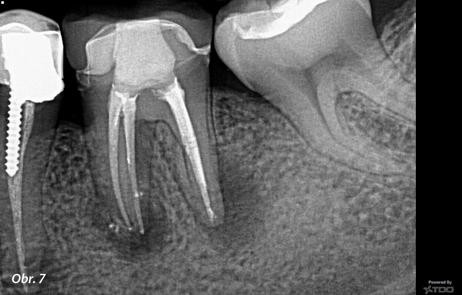
Mýtus č. 1: Velké léze se nezhojí
Mýtus č. 2: Rentgenové projasnění ve tvaru „J“ znamená, že zub je prasklý
Mýtus č. 3: Chladicí sprej je určen pouze pro endodontisty
Nyní odhalím každý z těchto mýtů tak, abyste byli schopni lépe sloužit svým pacientům a zajistili jim lepší výsledky ošetření.

Mýtus č. 1: Velké léze se nezhojí
Pamatuji si, že když jsem byla ještě na rezidentuře, slyšela jsem několik lidí říkat, že velké léze se nehojí. Cože to říkají? Dovoluji si nesouhlasit. Klíčem je vědět, proč se léze nehojí, a od toho se odpíchnout. Abychom toho dosáhli, musíme nejprve mluvit o tom, proč se léze vyskytují.
V klasické studii Kakehashi a kol. bylo prokázáno, že aby došlo k apikální resorpci kostí, musí být v kanálcích přítomny bakterie (Kakehashi S. 1965). Studie se zaměřila na běžné potkany a potkany bez choroboplodných zárodků a zjistila, že u zubů s obnaženou dření se vyvinula periapikální projasnění pouze u běžných potkanů. Co to znamená? Bez bakterií nezáleželo na tom, jak exponované byly tyto pulpy, léze se prostě nevyvinuly. Abychom to shrnuli: když uvidíte lézi, v kanálcích jsou bakterie.
Co se stane, když ošetříte kořenový kanálek a léze se nehojí? Nejprve si musíte položit otázku: „Opravdu jsem úplně dezinfikoval zub? Našel jsem všechny kanálky a dostal jsem se na konec každého kanálku?“ Pamatujte, že milimetr je v endodontickém světě míle a pokud se nedostanete až k samotnému konci kanálku, stále zde mohou zůstat nějaké bakterie.
Nejprve tedy doporučuji skutečně posoudit váš dezinfekční protokol a mým návrhem bude vždy nejprve reendodoncie! Když zubaři často nedokážou vysvětlit, proč kořenový kanálek selhává, tak si automaticky myslí, že je zub prasklý, a začnou přemýšlet o nahrazení zubu. Ale to může být chybné! Nikdo není dokonalý a dokonce i ti nejlepší z nás musí provádět reendodoncie svých vlastních případů (zeptejte se mě, jak to vím!). Žádám vás tedy, abyste dali zubům šanci, a to obvykle znamená nejprve reendodoncii!
Pokud příznaky přetrvávají i po reendodoncii, přemýšlejte o dalších možnostech, jako je apexektomie. Existuje spousta anatomických studií, které ukazují, že v posledních 3 mm kořene mohou existovat rozsáhlé apikální ramifikace a isthmy. Pokud se tyto oblasti obtížně čistí, jedinou možností je fyzicky je odstranit apexektomií. Díky Bohu, že s tímto postupem přišli, protože nám umožňuje zachránit ještě více zubů.
Pamatujte, že apexektomie není něco, do čeho chcete jen tak skočit; chcete nejprve vyčerpat všechny své ortográdní možnosti. Při plánování léčby je třeba mít na paměti, že odstranění apexu ošetří pouze posledních 6 mm kořene, takže pokud máte podezření, že v celém kořeni jsou bakterie, musíte provést nejprve reendodontické ošetření. Vidíte, kam tím směřuji?
Buďte v obraze
Chcete mít pravidelný přehled o nových článcích na tomto webu, akcích a dalších novinkách? Přihlaste se k odběru newsletteru.
Odesláním souhlasíte s našimi zásadami zpracování osobních údajů.
Jedním z dalších důvodů, proč se „vaše“ léze nemusí hojit, je skutečnost, že léze je ve skutečnosti cysta, nikoli absces nebo granulom. Všichni jsme se na fakultě zubního lékařství naučili, že pojem „cysta“ je histologická definice a není možné určit, jakého typu jsou léze, pokud neprovedeme biopsii zasažené oblasti. Podívejme se na klinický význam cysty: Můžete jakkoliv dobře endodonticky ošetřit kořenový kanálek a nezískáte řešení léze, protože tělo vytvořilo epiteliální výstelku nebo stěnu kolem této léze (to je definice cysty). Nyní musí být tato léze enukleovaná, než uvidíte jakékoli zhojení. Tento typ chirurgického zákroku je nutný pro přibližně 3–8 % případů (Bhaskar SN 1966, Nair PNR 1986, Nair PNR 1996). Zajímavé je, že v těchto případech nemusíte vždy provádět apexektomii – stačí vyčistit kostní kryptu.
Předplaťte si StomaTeam ONLINE a získejte neomezený přístup ke kompletnímu obsahu StomaTeamu.
objednat předplatné
Články
10. 10. 2024 | Endodoncie
Orifice opener, glide path, shaping a finishing nástroj – pro konvenční endodontické ošetření často postačuje kompaktní systém nikltitanových (NiTi) nástrojů k dosažení reprodukovatelných výsledků...
Články
31. 10. 2024 | Endodoncie
Jako zubní lékaři často čelíme nutnosti revidovat ošetření kořenových kanálků kvůli problémům, jako je například netěsnost výplně nebo neadekvátní předchozí léčba. Náš imunitní systém naštěstí hraje zásadní roli při udržování křehké bakteriální rovnováhy bojem proti bakteriální agresi...











