Liečba parodontitídy pri spolupráci zubného lekára a dentálnej hygieničky
Parodont je súbor tkanív, ktorých cieľom je udržať zub v zubnom lôžku a oddeliť vnútorné prostredie organizmu od vonkajšieho. K tkanivám parodontu patrí koreňový cement, alveolárna kosť, supraalveolárne väzy, intraalveolárne väzy (dezmodont) a gingíva. Parodont má teda dve základné funkcie, ktorými sú fixácia zuba a obrana pred vniknutím cudzích látok do organizmu. Túto funkciu plní spojovací epitel, supraalveolárne väzy, sulkulárna tekutina, orálny a sulkulárny epitel gingívy.

Zdravý parodont je najviac závislý od pravidelnej starostlivosti. Bunky a tkanivá parodontu zabraňujú preniknutiu baktérií a ich toxínov do vnútra nášho organizmu. Najčastejšie k poškodeniu tkanív parodontu dochádza pôsobením mikrobiálneho plaku. Jeho patogenita je daná jeho objemom, zložením a metabolizmom.
Medzi parodontom a pulpou existuje spojenie. Tieto dve tkanivá sú cez foramen apicale (foramen apicis dentis) a cez akcesórne kanáliky navzájom prepojené. Akcesórne (bočné) kanáliky odstupujú od kanála koreňa zuba a sú v spojení s periodontálnymi ligamentmi. Zápalový proces sa preto môže ľahko šíriť z jednej oblasti do druhej. Toto šírenie infekcie môže postupovať cez periapikálny otvor na hrote koreňa alebo dentínovými tubulmi, ktoré sa nachádzajú pozdĺž koreňa zuba.
Kazuistika
Pacientka vo veku 40 rokov k nám bola poslaná od svojho zubného lekára so žiadosťou o parodontologické vyšetrenie. Na základe kompletného vyšetrenia sme stanovili diagnózu a navrhli alternatívy liečebného plánu, ktorý pozostáva zo štyroch fáz a to prípravná, hygienická, definitívna a udržiavacia fáza.
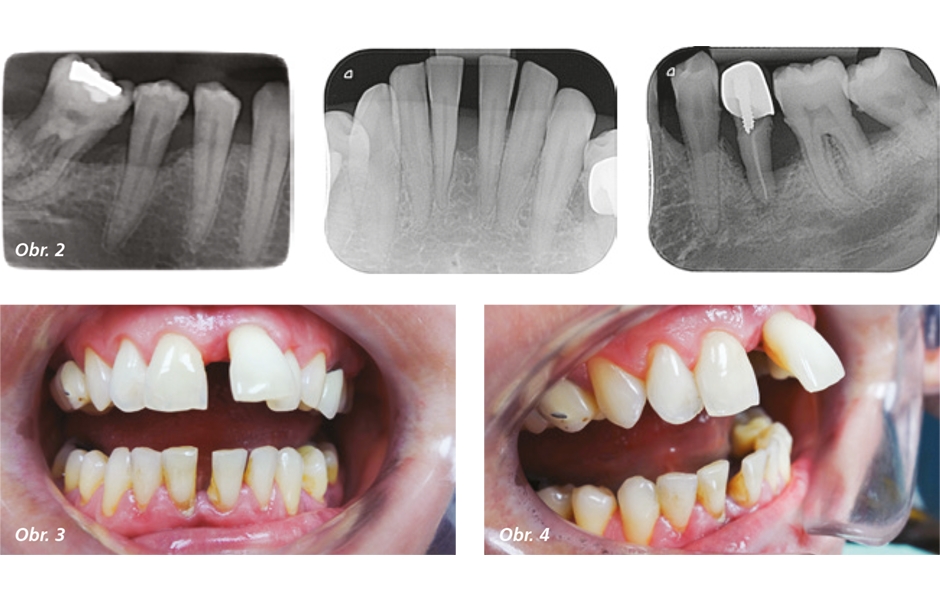
V prípravnej fáze sme vykonali komplexné vyšetrenie pacientky. Pacientka vyplnila anamnestický dotazník. Vykonali sme extraorálne vyšetrenie pacientky. Zistili sme asymetriu ľavej strany, čo bolo spôsobené postavením zuba číslo 21. Pokračovali sme v intraorálnom vyšetrení pacientky. Vyšetrili sme stav chrupu (RK4 d№35), stav hygieny (KOD – 75), stav mukogingiválnej oblasti (ťah frenulum labii superioris, šírka pripojenej gingivy pri d№31 a d№41 bola 0, prítomné gingiválne recesy), stav parodontu (CPITN 4-4-4/4-3-4, aktivita vačku s hnisavou exsudáciou d№21) a stav slizníc (bez patologického nálezu). Zhotovili sme aj rtg snímky – OPG a intraorálne snímky (obr.1, 2). Na základe tohto vyšetrenia sme pacientke stanovili diagnózu – kariologicky aktívna (RK4 d№35), parodontologicky aktívna – P3 agresívna parodontitída, generalizovaná forma (RP3 – RP4) (obr. 3, 4).

OPG, Máj 2015

Obr. 2: Intraorálne rtg snímky, Máj 2015 / Obr. 3, 4: Fotodokumentácia, postavenie d№21 mimo zubný oblúk v maxile, Máj 2015
Buďte v obraze
Chcete mít pravidelný přehled o nových článcích na tomto webu, akcích a dalších novinkách? Přihlaste se k odběru newsletteru.
Odesláním souhlasíte s našimi zásadami zpracování osobních údajů.
Články
27. 2. 2025 | Dentální hygiena
Guided Biofilm Therapy – bezpečné ošetření i v náročných případech: rozhovor s dentální hygienistkou Heidi Zisterer, která za dokumentaci velmi náročného ošetření s využitím GBT získala ocenění Dental Hygiene Practitioner Award na 25. výroční konferenci Německé společnosti dentálních hygienistek (DGDH).
Články
4. 11. 2025 | Technologie
Dr. Elissa Nasr popisuje léčbu gummy smile pomocí chirurgického prodloužení korunky s využitím digitálního pracovního postupu.
Články
3. 7. 2025 | Dental rádio StomaTeam
Pro 61. epizodu podcastu Mezi zuby si jeho tvůrci pozvali do studia MDDr. Jána Jurkemíka, PhD., MPH, MBA, aby pohovořil o využití laseru ve stomatologii i mimo ni. Je to poprvé, co byl host podcastu přítomen přímo ve studiu, takže mohl pro názornost využít videoukázky ze své praxe.
Fatal error: Uncaught Error: Call to undefined function mysql_query() in /www/doc/www.dentalchoice.cz/www/api/dental-choice.php:29 Stack trace: #0 {main} thrown in /www/doc/www.dentalchoice.cz/www/api/dental-choice.php on line 29
Fatal error: Uncaught Error: Call to undefined function mysql_query() in /www/doc/www.dentalmarket.cz/www/api/dental-market.php:29 Stack trace: #0 {main} thrown in /www/doc/www.dentalmarket.cz/www/api/dental-market.php on line 29









