Materiál a přístroj: první dojem se počítá
Kompaktní frézovací přístroj PrograMill DRY a nejmodernější zirkon IPS e.max ZirCAD Prime
Oliver Brix je mezinárodně uznávaným odborníkem na celokeramiku. Zhruba před rokem začal používat nový stolní frézovací přístroj PrograMill DRY (Ivoclar). V článku hovoří o svých zkušenostech s frézováním a popisuje své důvody, proč v mnoha případech používá zirkon IPS e.max ZirCAD Prime.

V dubnu 2021 jsme rozšířili digitální portfolio naší malé zubní laboratoře o CAD/CAM přístroj PrograMill DRY (Ivoclar) (obr. 1, 2). Vlastností, kterou nás tento přístroj zaujal, byla kompaktní velikost. Po několika měsících používání můžeme potvrdit, že frézovací přístroj PrograMill DRY bez omezení plní všechny námi zadávané úkoly a poskytuje vysoce přesné výsledky. Ve srovnání s podobnými systémy je doba frézování krátká. Vnitřek přístroje se snadno čistí a jeho mechanismus vkládání disků je stejně jednoduchý jako důmyslný. Přístroj používáme hlavně k frézování zirkonových náhrad. Při určování nejlepšího materiálu pro dosažení úspěchu bereme v potaz indikaci (korunková náhrada, můstek, náhrada nesená implantáty) a způsob finalizace (úplné nebo částečné fazetování, nebo monolitická náhrada). Tento článek se zaměřuje na zirkonové materiály IPS e.max ZirCAD Prime a IPS e.max ZirCAD Prime Esthetic od společnosti Ivoclar. Oba materiály jsou kombinací dvou surových zirkonových materiálů s různou ohybovou pevností v jednom produktu a disponují hladkým přechodem odstínů a translucence (obr. 3).
- IPS e.max ZirCAD Prime kombinuje surový zirkonový materiál ve formě 3Y-TZP (dentinová oblast, ohybová pevnost 1250 MPa) s 5Y-TZP (incizální oblast, ohybová pevnost 750 MPa).
- IPS e.max ZirCAD Prime Esthetic kombinuje 4Y-TZP s 5Y-TZP. S nižší ohybovou pevností v dentinové oblasti poskytuje tato verze výjimečné estetické vlastnosti (díky větší translucenci).
„Vytváření“ zirkonových náhrad
Vysoká translucence a téměř dokonalá shoda se vzorníkem odstínů patří mezi hlavní vlastnosti, které definují materiál IPS e.max ZirCAD Prime Esthetic. Vysoká míra přesnosti je patrná již bezprostředně po vyfrézování v přístroji PrograMill DRY (obr. 4, 5). Obvykle modelujeme všechny detaily a hladké povrchy náhrady před sintrováním (obr. 6, 7). Obrázek 8 zachycuje rotační nástroje používané pro tento krok.
Individualizace a sintrování
Společnost Ivoclar nabízí celou řadu tekutin k dobarvování (obr. 9). Má-li se náhrada plně fazetovat, používáme bílý zirkon (bez odstínu) a pouze lehce probarvíme okraje pomocí infiltrační techniky. U monolitických náhrad nebo náhrad fazetovaných jen z labiální strany je možné použít k individualizaci různé metody. Nejlepšího vizuálního efektu lze dosáhnout jednoduchým nanesením vnějších barviv před sintrováním. Tento přístup s sebou nicméně nese riziko, že výsledný efekt odstínu nemusí být takový, jak bylo zamýšleno.
Začínáme dobarvovat očištěnou základní konstrukci nanesením dobarvovací tekutiny IPS e.max ZirCAD Colouring Liquid v odstínu A2 na krčkové, mezizubní a okluzální oblasti. Incizální třetinu je možné zvýraznit nanesením fialové a šedé a vytvořit tak iluzi optické hloubky. Meziální a distální oblasti je možné zvýraznit kapkou modré (obr. 10a–c). Jakmile jsou nanesena barviva, náhrada se osuší a umístí na sintrovací podložku. Proces sintrování v peci Programat S2 (Ivoclar) (obr. 11) je klíčový pro výslednou pevnost a vzhled. Je důležité mít na paměti, že se velikost a objem jednotlivých sintrovaných objektů liší. Při sintrování velkých prvků navyšujeme teplotu o 20 až 30 °C, aby se zvýšila míra translucence (pozn.: toto je jen naše doporučení, nejedná se o doporučení výrobce).

„Malý co do velikosti, velký co do výkonu“ – kompaktní frézovací přístroj PrograMill DRY.

PrograMill CAM nabízí přehledně zpracované rozhraní a splňuje všechny požadavky.

Zirkonová náhrada po sintrování a individualizaci.

Kombinace navrhování náhrady a strategie frézování vede k přesnosti až po nejjemnější detail...

Po oddělení od disku se náhrada opracuje ručně (před sintrováním), pro dokonalou úpravu i tam, kde frézovací přístroj potřebuje pomoc rukou zubního technika.

Ve spojení s „analogem“ je digitální postup dokonalý!

Ve spojení s „analogem“ je digitální postup dokonalý!

Jemná infiltrace tekutinami IPS e.max ZirCAD.

Dentin se nanáší dvakrát na aproximální a krčkové oblasti a na střední část okluzní plošky. Šedá a fialová se smíchají a nanáší na incizální třetinu a hřebeny hrbolků v rámci jednoho kroku. Nevzniká tak jednotně modrý efekt.

Dentin se nanáší dvakrát na aproximální a krčkové oblasti a na střední část okluzní plošky. Šedá a fialová se smíchají a nanáší na incizální třetinu a hřebeny hrbolků v rámci jednoho kroku. Nevzniká tak jednotně modrý efekt.

Dentin se nanáší dvakrát na aproximální a krčkové oblasti a na střední část okluzní plošky. Šedá a fialová se smíchají a nanáší na incizální třetinu a hřebeny hrbolků v rámci jednoho kroku. Nevzniká tak jednotně modrý efekt.

Sintrovací pec Programat S2 dosahuje vysokých hodnocení pro svoji uživatelsky přívětivou obsluhu a vynikající výsledky.

Sintrovaný můstek.

Okluzální pohled po pomalém sintrování. Již nyní lze získat představu o vizuálním vzhledu náhrady.

Tenká vrstva glazovacího materiálu přivádí odstín a optickou dynamiku materiálu „k životu“. Obvykle nedoporučujeme zirkon jen leštit. Leštění se provádí po glazování za účelem detailního dokončení povrchu náhrady.

Dokončená náhrada vyrobená z IPS e.max ZirCAD Prime Esthetic po jemném dobarvení, glazování a závěrečném vyleštění.

Všechny detaily, včetně efektu odstínu a celkového dojmu, skryjí skutečnost, že je náhrada vyrobená ze zirkonu, což je extrémně opakní materiál. Nová generace materiálů otevírá atraktivní možnosti.

Vynikající shoda odstínu a vysoká kvalita. Působivý je také jas náhrady.

Počáteční situace: dlouhodobě provizorní náhrada během přípravy na definitivní náhradu.

Vyrobeno z IPS e.max ZirCAD Prime: labiálně fazetovaný můstek a korunky.

Zirkonový můstek (IPS e.max ZirCAD Prime) na individuálních zirkonových abutmentech, s konvenčním labiálním fazetováním (IPS e.max Ceram).

Můstek splňující svůj účel...

… harmonicky splývá s okolními zuby.
Jemné úpravy
Náhrada vykazovala „živý“ vzhled již po procesu sintrování (obr. 12). Plný estetický potenciál se nicméně projeví až po nanesení glazovacího materiálu (obr. 13, 14). Náhradu jsme tedy potřeli tenkou vrstvou glazovacího materiálu a až poté jsme přikročili k nanášení barviv. Pro dobarvovací pálení jsme použili modifikovaná barviva (IPS Ivocolor Shades a Stains, Ivoclar). Viděli jsme, že po vyleštění se materiál IPS e.max ZirCAD Prime Esthetic velice blíží presovací keramice IPS e.max Press HT (vysoká translucence), a to pokud jde o shodu odstínu, barevný tón a vzhled (obr. 15, 16). Z hlediska estetiky je možné materiál IPS e.max ZirCAD Prime Esthetic použít bez jakýchkoli omezení na korunkové náhrady a malé můstky (obr. 17, 18).
Závěr
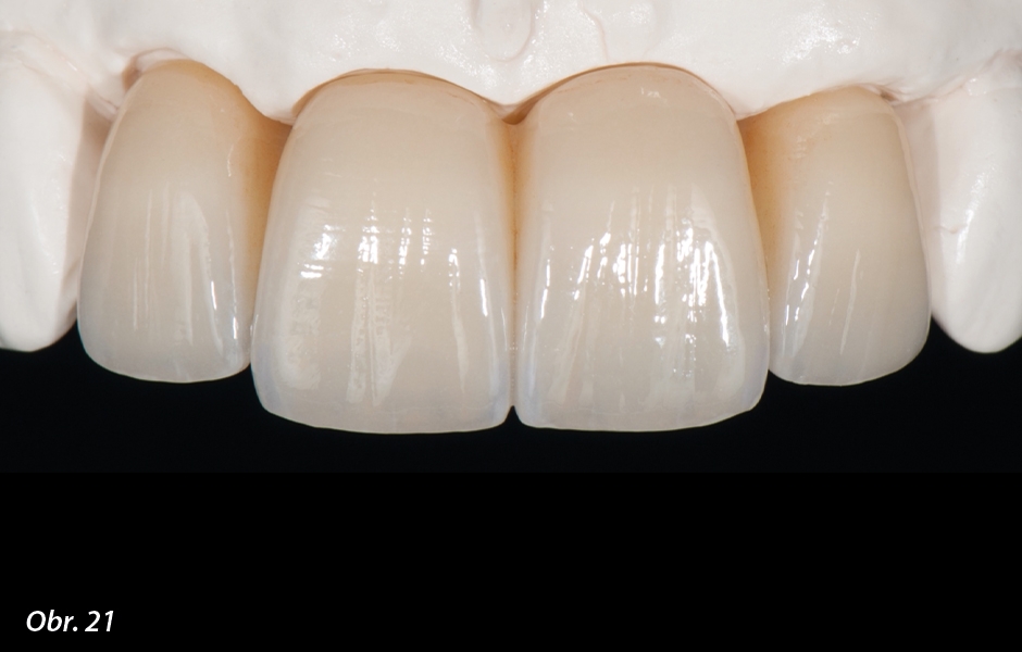
S pomocí vhodného CAD/CAM systému a nejnovějšího portfolia materiálů lze efektivně integrovat i do prostorově malé laboratoře pracovní postup, který využívá CAD návrhu konstrukce a designu, frézování a individualizace, a vyrábět zirkonové náhrady (obr. 19–23).
Buďte v obraze
Chcete mít pravidelný přehled o nových článcích na tomto webu, akcích a dalších novinkách? Přihlaste se k odběru newsletteru.
Odesláním souhlasíte s našimi zásadami zpracování osobních údajů.
Články
17. 4. 2024 | Technologie
V tomto příspěvku bych rád ukázal inovativní metodu individualizace zirkonové...
Články
15. 4. 2024 | Technologie
Kombinace moderních nanohybridních kompozitů a adhezivních systémů...
Články
5. 12. 2025 | Technologie
Zavedení titanových slitin otevřelo nové perspektivy v moderní implantologii a zubním odborníkům umožnilo nabídnout pacientům širší škálu terapeutických možností. Pokračující výzkum titanových slitin neustále odhaluje nové možnosti využití a zlepšení. S rostoucím porozuměním materiálům a lidskému tělu přispívá propojení interdisciplinárních poznatků k tomu, že další kapitola v implantologii bude ještě slibnější a převratnější.







