Zhotovení celkových snímatelných imediátních náhrad v každodenní praxi
Imediátní snímatelná náhrada je pro mnoho pacientů řešením traumatu vyplývajícího z radikální estetické a funkční změny, které musí čelit, a která je často zhoršena nevhodným protetickým řešením. Ve většině případů nevhodně navržené náhrady nesplňují očekávání pacienta, již tak vystaveného značnému psychickému traumatu. Imediátní snímatelná náhrada představuje přípravu na definitivní snímatelnou náhradu.

Úvod
Konečným cílem zhotovení imediátní snímatelné náhrady je poskytnout, po řádné diagnostické fázi, terapeutické vodítko, na jehož základě můžeme navrhnout vhodné protetické řešení, např. s oporou na implantátech nebo na sliznici, a které je jedinou zárukou úspěšné definitivní rehabilitace. Z toho vyplývá pevně daný pracovní postup předvedený na níže uvedených případech.
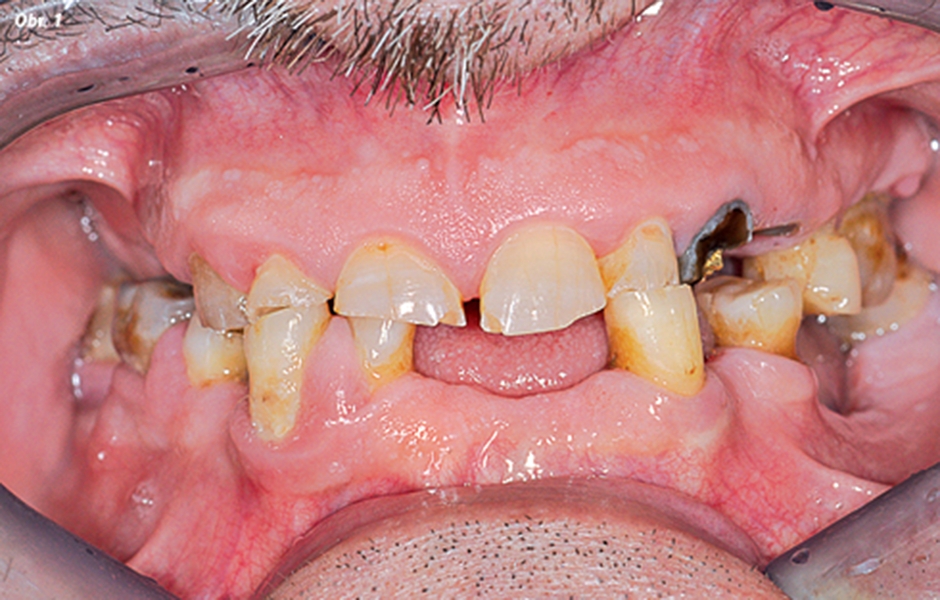
První klinický případ
Pacient A. P. trpěl problémy s funkčností a zejména s estetikou svého chrupu s negativními psychologickými důsledky (obr. 1–3). Po provedení klinických vyšetření zubní lékař konstatoval nemožnost použití zbývajícího chrupu a rozhodl se přikročit ke zhotovení imediátních celkových snímatelných náhrad, coby přípravy na definitivní rehabilitaci chrupu nezávislé na typu opory (sliznice nebo implantát).
Poté byly zhotoveny otisky obou zubních oblouků a vyrobeny studijní modely (obr. 4 a 5). Ke stanovení mezičelistních vztahů byla použita vosková skusová šablona. Modely byly instalovány do artikulátoru (obr. 6–9) a na základě přirozeného chrupu, který byl použit jako vodítko, byly individualizovány umělé zuby.

Frontální pohled

Horní čelist

Dolní čelist

Alginátové otisky zbývajícího chrup

Alginátové otisky zbývajícího chrup

Vyhodnocení okluzní roviny
Buďte v obraze
Chcete mít pravidelný přehled o nových článcích na tomto webu, akcích a dalších novinkách? Přihlaste se k odběru newsletteru.
Odesláním souhlasíte s našimi zásadami zpracování osobních údajů.
Články
6. 5. 2025 | Protetika
Digitální pracovní postup umožňuje využití polychromatických disků s optickými vlastnostmi podobnými přirozenému zubu. Ty minimalizují nebo dokonce eliminují potřebu individualizace či charakterizace, pokud je materiál vybrán na základě specifických potřeb pacienta. Klíčovým faktorem je vysoká věrnost barev odpovídající přirozenému zubu, plynulý přechod odstínu od krčku k incizi a přirozená hra světla s efekty napodobujícími skutečný zub.
Články
12. 8. 2025 | Protetika
Představujeme případ částečné náhrady chrupu ošetřeného pomocí jednoduchého plně digitálního protokolu, který zahrnoval zhotovení implantáty nesených korunkových náhrad (spojených korunek) z hybridního kompozitního materiálu se 42% obsahem keramiky (certifikovaného pro definitivní náhrady) za využití moderní technologie 3D tisku TSLA (tilted stereolithography) na tiskárně DFAB.
Články
12. 11. 2025 | Protetika
Tato kazuistika se zabývá integrací technologií Ceramill FDS, Zebris, M-Smile a Ivotion při výrobě celkových náhrad. Pacientka, nositelka celkových náhrad po dobu 36 let, vyžadovala zlepšení estetiky a retence.










