Síla světla
Celková rekonstrukce zirkonovými náhradami kotvená implantáty
Konstrukce rozsáhlých náhrad fazetovaných keramikou nebo pryskyřicí jsou často diskutovaným tématem, vzhledem k náročnosti a problémům s technikami a materiály používanými k jejich zhotovení. Pokrok, kterého dosáhly implantologické regenerační materiály a techniky v posledních několika letech, umožňuje zavést implantáty i do míst, kde to bylo dříve nemožné. Díky tomuto klinickému vývoji musíme často v laboratoři řešit velmi složité případy náročné na plánování i technické provedení.

Hojně se mj. debatuje o tom, který materiál je pro provedení rozsáhlých rehabilitací nejlepší. Některé názory upřednostňují pryskyřičné materiály a šroubované náhrady. Moje laboratoř dává přednost cementovaným náhradám fazetovaných keramikou. Považuji totiž otvory pro šroubky za neestetické – velmi špatně se skrývají, zejména jsou-li na vestibulárních a aproximálních ploškách. V případě jejich uzavření je nelze opět otevřít, aniž by se nepoškodila okolní keramika. Oba zmíněné systémy (šroubované náhrady vs. cementované) mají svá omezení a slabá místa, ale také několik jistot. Kompozity a pryskyřice velmi rychle degenerují kvůli své interakci s absorbovanými tekutinami a působícím žvýkacím silám. Keramika je odolnější a stálejší, ale je u ní potenciální riziko prasknutí nebo odlomení (chipping). Jako alternativu k metalokeramice jsme v posledních letech využívali převážně zirkon.
Faktor času
Jsou plynutí času a měnící se technologie tak důležité faktory? Náš obor je specifický dlouhodobým závazkem – naše práce je sledována mnoho let. Moderní technologie a její zvládnutí se nyní stává takřka stejně důležitou, jako lidský faktor, ten však nadále zůstává nejdůležitějším aspektem – představují jej znalosti a erudice zubního technika, které mu umožňují naplánovat a vytvořit zubní náhrady za uplatnění maximální profesionality.
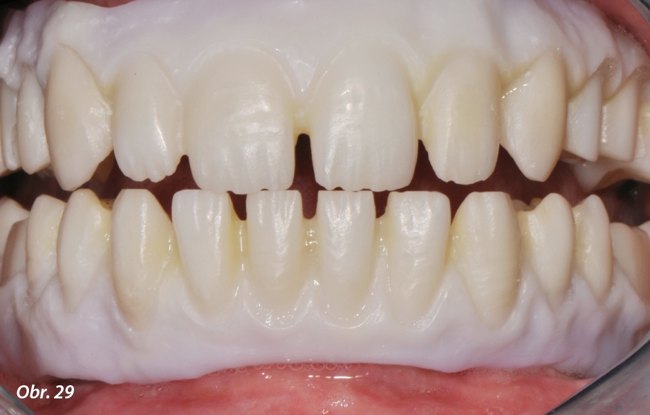
Níže prezentované náhrady byly vyrobeny z vysoce translucentního zirkonu. Tento materiál umožňuje vytvořit ve srovnání s dřívějšími materiály naprosto odlišné konstrukce. Vysoká relevantní translucence má pozitivní vliv na prostupnost světla, díky čemuž je objem konstrukce můstku větší a napomáhá tak k ochraně fazet z keramiky před okluzní zátěží a brusnými silami, především v distálních oblastech.
Kazuistika
Nyní se podíváme na prezentaci případu, u kterého bylo nutno provést chirurgický zákrok za účelem zvětšení objemu kosti v horním frontálním úseku, aby mohly implantáty tvořit oporu 12členné náhradě. Pacient nosil celkem 20 let celkovou zubní náhradu a během této doby došlo k procesu atrofie kosti, která způsobila podstatnou resorpci a následnou změnu objemu rtů a pozice horní čelisti (obr. 1–8).
Buďte v obraze
Chcete mít pravidelný přehled o nových článcích na tomto webu, akcích a dalších novinkách? Přihlaste se k odběru newsletteru.
Odesláním souhlasíte s našimi zásadami zpracování osobních údajů.
Výrazný úbytek alveolu ve frontální oblasti horní čelisti byl kompenzován umístěním dvou kostí z kostní banky, které byly připojeny a upevněny pomocí malých titanových šroubků, přičemž byl současně proveden sinus lift. Po době potřebné pro biologickou integraci kosti byly šroubky odstraněny a bylo zavedeno šest implantátů.
Předplaťte si StomaTeam ONLINE a získejte neomezený přístup ke kompletnímu obsahu StomaTeamu.
objednat předplatné
Články
1. 4. 2026 | Protetika
Mnoho zubních techniků si myslí, že kvalitní zubní laboratoř poznáte podle krásných korunek.
Články
15. 5. 2025 | Protetika
Aidite 3D Pro Zikón: Revolučný materiál v oblasti zubnej protetiky, známy svojou výnimočnou pevnosťou, estetickým vzhľadom a všestrannosťou. ento pokročilý zirkónový materiál vyniká vďaka svojmu unikátnemu viacvrstvovému dizajnu, ktorý napodobňuje prirodzený gradient ľudských zubov.
Články
6. 5. 2025 | Protetika
Digitální pracovní postup umožňuje využití polychromatických disků s optickými vlastnostmi podobnými přirozenému zubu. Ty minimalizují nebo dokonce eliminují potřebu individualizace či charakterizace, pokud je materiál vybrán na základě specifických potřeb pacienta. Klíčovým faktorem je vysoká věrnost barev odpovídající přirozenému zubu, plynulý přechod odstínu od krčku k incizi a přirozená hra světla s efekty napodobujícími skutečný zub.
Út 26. 5. 2026 – Pá 29. 5. 2026 | 4 dny











