Přirozená estetika dosažená minimálně invazivními metodami
Přímá frontální náhrada z IPS Empress® Direct
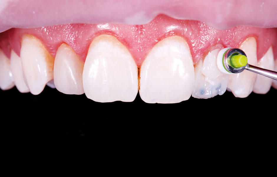
V moderní stomatologii jsou ošetření zachovávající zub hlavní prioritou. Tato ošetření zahrnují minimálně invazivní strategie k opravě lézí a/nebo krytí diskolorovaných zubních struktur v předním úseku chrupu.

V posledních několika desetiletích mnohonásobně vzrostlo množství různých možností ošetření zubů, a to díky vývoji inovativních zubních kompozitů. V minulosti bylo pro vysoce estetické výsledky nutno použití nepřímých fazet, dnes jsou k dispozici sofistikované kompozity nabízející v mnohých případech vhodnou alternativu. Kompozitní pryskyřice v nedávné době prošly významnými změnami. Komunita stomatologických výzkumníků a průmyslu zareagovala na vznikající poptávku mezi praktiky a pacienty po těchto materiálech, výsledkem je, že jsou nyní tyto materiály na takové úrovni, že jsou považovány za nejmodernější řešení. S moderními materiály jako je IPS Empress® Direct mohou být frontální náhrady účinně vrstveny tak, aby vytvořily vysoce estetické výsledky, které jsou prakticky nerozeznatelné od přirozených struktur zubu. V důsledku toho mohou ošetřující zubní lékaři těžit z přívětivých uživatelských vlastností kompozitů bez nutnosti dělat jakékoliv kompromisy v estetice.
Fyzikální vlastnosti
Dle našeho názoru je IPS Empress® Direct nejlepší dostupný materiál svého druhu pro uspokojivé a vysoké estetické nároky. Díky přirozené opacitě, fluorescenci a opalescenci materiálu mohou být vytvořeny přirozeně vypadající a funkční rekonstrukce zubu. Obecně hraje složení plniv použité v kompozitech pro frontální úsek důležitější roli než v univerzálních materiálech. Kompozitní pryskyřice musí splnit speciální požadavky na fyzikální vlastnosti s ohledem na objemové smrštění, tvrdost povrchu, pevnost v ohybu, leštitelnost a odolnost vůči otěru. Navíc musí být pečlivě vybalancovány optické vlastnosti. IPS Empress® Direct od Ivoclar Vivadent splňuje všechny tyto hlavní požadavky. Monomery obsažené v tomto kompozitu určují jeho reaktivitu, sílu, smrštění a manipulační vlastnosti. Monomerní matrix zahrnuje plniva, která určují odolnost vůči otěru, sílu, leštitelnost, povrchový lesk, radioopacitu a translucenci materiálu. Hrubé plnivo z barnatého skla dodává dentinovým odstínům vysokou pevnost, zatímco jemnější plnivo z barnatého skla ve sklovinných odstínech zajišťuje excelentní leštitelnost a nízkou náchylnost k otěru.
Optické vlastnosti
Kompozitní systém se skládá z 32 odstínů a pěti translucenčních stupňů. Jeho fluorescence, translucence a opalescence jsou rozhodující pro estetický vzhled náhrady. IPS Empress® Direct dosahuje své přirozené fluorescence díky speciálním pigmentům. Materiál vděčí za své výjimečné optické charakteristiky svému složení. Dentinové odstíny řady IPS Empress® Direct vykazují vyšší opacitu a saturaci barvy než sklovinné materiály. Translucence sklovinných odstínů pak umožňuje dentinovému materiálu rozptylovat světlo tak jako přirozené zubní struktury. Translucence podobná zubu je u kompozitu dosažena použitím plniva a matrix s podobným refrakčním indexem.
Buďte v obraze
Chcete mít pravidelný přehled o nových článcích na tomto webu, akcích a dalších novinkách? Přihlaste se k odběru newsletteru.
Odesláním souhlasíte s našimi zásadami zpracování osobních údajů.
To, co dává náhradě navíc přirozenou opalescenci, jsou Trans Opal odstíny: v odraženém světle vypadají namodrale a v propuštěném světle červenooranžově, což odpovídá vzhledu přírodních zubních struktur.
Pouze ideální fyzikální a optické vlastnosti ale nestačí k zajištění estetického výsledku. Na straně ošetřujícího je vyžadována zručnost a odbornost, protože musí dokonale navrstvit a vytvarovat rekonstrukci a také věrně reprodukovat odstín a optické vlastnosti zubu. Kvůli tomu by mělo být možno s kompozitem pohodlně manipulovat. IPS Empress lze nanášet velmi intuitivně.
Předplaťte si StomaTeam ONLINE a získejte neomezený přístup ke kompletnímu obsahu StomaTeamu.
objednat předplatné
Články
4. 9. 2025 | Protetika
Dnešní vysoké estetické nároky lze uspokojit pomocí přímých kompozitních rekonstrukcí.
Články
12. 11. 2025 | Protetika
Tato kazuistika se zabývá integrací technologií Ceramill FDS, Zebris, M-Smile a Ivotion při výrobě celkových náhrad. Pacientka, nositelka celkových náhrad po dobu 36 let, vyžadovala zlepšení estetiky a retence.
Články
26. 9. 2024 | Protetika
Skeletové náhrady mají poměrně „špatnou pověst“ coby náhrady devastující zbylý chrup páčivými silami působícími na kotevní zuby jak při nošení, tak při nasazování a sundávání skeletu. Jak známo, tyto devastační síly...
dentální produkty
Intraorální kamery a diagnostické přístroje











