Přímá oprava keramiky pomocí kompozitního materiálu za použití GLUMA Bond Universal
Keramické materiály se úspěšně používají ve stomatologii, zejména v protetice, již několik desetiletí. K vývoji a rozšiřování spektra indikací docházelo postupně, od keramických protetických zubů, přes použití coby fazetovací keramiky, po současné celokeramické korunkové a můstkové náhrady ze zirkonu.

Oprava keramiky s GLUMA Bond Universal & Charisma Diamond
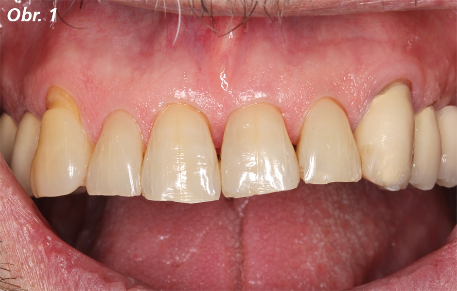
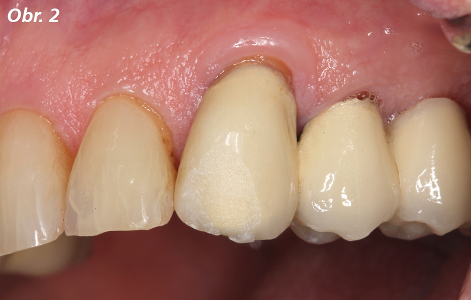
Pacient s metalokeramickými korunkami se dostavil s meziálně- incizálním odlomením keramiky na zubu 23 (obr. 1, 2). Korunky byly nasazeny předchozím zubním lékařem. Pacient chtěl precizně rekonstruovat tvar korunek, použité materiály nebyly známy. Pacient měl problém hlavně s estetikou a hrubostí povrchu odlomené keramiky. Klinické vyšetření odhalilo věku odpovídající zuby s protetickými a přímými konzervativními rekonstrukcemi. Byly zjištěny všeobecně mírné gingivální recesy, výraznější v oblasti špičáků. Orální hygiena byla dobrá, okraj korunky zubu 23 byl obnažen, ale nevykazoval žádné klinické abnormality (obr. 2). Ani korunka ani okraj korunky v současném stavu nebyly důvodem pro výměnu celé korunky. Během konzultace s pacientem proto bylo rozhodnuto ve prospěch přímé, intraorální opravy pomocí nanohybridního kompozita Charisma Diamond. Odlomení keramiky na zubu 23 patřilo mezi tzv. jednoduchá odlomení, což znamená, že povrch lomu je celý v keramice, bez obnažení kovové konstrukce. Po vyleštění opravovaného zubu byl nasazen kofferdam a okraje poškozeného keramického povrchu byly pomocí jemného diamantu rozšířeny o zhruba 1 mm nad okraje lomu. Poté byl celý opravovaný povrch zdrsněn karbidkřemičitým kaménkem, důkladně opláchnut vodní sprchou a osušen. Nyní bylo možné opracovaný keramický povrch snadno odlišit od ostatních částí (obr. 3). Alternativně je také možné povrch intraorálně opískovat oxidem hlinitým, přičemž je třeba chránit měkké tkáně. Předchozí rizikové intraorální ošetření povrchu silikátové keramiky kyselinou fluorovodíkovou je vynecháno. Na čistý a suchý povrch preparovaného keramického povrchu se nanese tenká vrstva primeru GLUMA Ceramic Primer (obr. 4).
GLUMA Ceramic Primer se musí vždy nanášet pouze za účelem vytvoření adhezivní vazby na křemičité keramice, sklokeramice a lithium disilikátové keramice. Kompozitní a kovové povrchy a povrchy zirkonové keramiky nebo keramiky na bázi oxidu hlinitého se nemusí předem ošetřovat primerem GLUMA Ceramic Primer. Pokud je, jako v tomto případě, intraorálně opravovaný typ keramiky neznámý, je možné primer GLUMA Ceramic Primer nanést, aniž by to vedlo k narušení adhezivní vazby. GLUMA Ceramic Primer se rovnoměrně rozprostře po celém zdrsněném povrchu mikroštětečkem. Navlhčený povrch je snadno rozeznatelný od oblastí, které potřeny nebyly díky výslednému lesku. GLUMA Ceramic Primer se nechá působit 20 sekund. Poté se krátce osuší proudem vzduchu (obr. 5). GLUMA Bond Universal se nanáší na připravený keramický povrch hned poté. Po 20 sekundách od nanesení se z GLUMA Bond Universal vzduchem vysuší zbytky adheziva, až se přestane adhezivní vrstva pohybovat a lesklá adhezivní vrstva zprůsvitní. Pak se polymeruje po dobu 10 sekund (obr. 6). Materiály GLUMA Ceramic Primer a GLUMA Bond Universal jsou snadno rozlišitelné. Zatímco se Ceramic Primer zdá být bezbarvý, nezpolymerovaný GLUMA Bond Universal má žlutavý odstín. Hlavní výzvou zde prezentované opravy bylo dosáhnout co nejestetičtějšího možného přizpůsobení materiálu Charisma Diamond staré keramice a současně zajistit vazbu mezi stávajícím povrchem a nanášeným kompozitem. Materiál Charisma Diamond byl zvolen pro svoji dobrou tvarovatelnost. Volbu materiálu navíc potvrdila vynikající přizpůsobivost odstínu vůči okolním oblastem a přirozená estetika. Odstín byl vybrán s pomocí vzorníku Charisma Diamond. Kompozit v požadovaném odstínu se nanáší na zpolymerovanou vrstvu GLUMA Bond Universal, zde to byl odstín Charisma Diamond A3 (obr. 7). Vzhledem k minimální tloušťce vrstvy potřebné pro opravu je možné nanést a vymodelovat Charisma Diamond v jedné vrstvě a pouze z jednoho odstínu (obr. 8).
Po odstranění kofferdamu a před dokončováním a leštěním byl ještě vidět přechod odstínu mezi keramikou a opravným kompozitem (obr. 9). Po dokončení a vyleštění pomocí leštítek Charisma EasyShine keramika a kompozit neznatelně splynuly. Obrázek 10 zachycuje dokonalé přizpůsobení odstínu opravného Charisma Diamond okolní keramice. Pacient byl s vynikajícím výsledkem ošetření maximálně spokojen a ošetření vyžadovalo minimální čas a peníze.

Počáteční situace vykazuje metalokeramickou náhradu s meziálním kohezním odlomením keramiky na zubu 23

Detailní pohled na odlomenou oblast na zubu 23. Jedná se o tzv. jednoduché odlomení, při němž je postižena pouze keramika a nedošlo k obnažení kovové konstrukce

Příprava odlomeného keramického povrchu na nanesení GLUMA Bond Universal: Povrch se rozšíří zhruba 1 mm nad okraje lomu pomocí jemného diamantu a zdrsní se karbid křemičitým kaménkem, opláchne se a osuší

GLUMA Ceramic Primer se nanáší na celý zdrsněný, osušený povrch

Povrch zvlhčený GLUMA Ceramic Primer je snadno rozeznatelný od oblastí, které zvlhčeny nebyly díky výslednému lesku. GLUMA Ceramic Primer se nechá působit 20 sekund. Poté se krátce osuší proudem vzduchu

GLUMA Bond Universal se nanáší na připravený keramický povrch ihned poté. Po 20 sekundách od nanesení se vzduchem vysuší z GLUMA Bond Universal rozpouštědla a adhezivní vrstva se polymeruje po dobu 10 sekund

Kompozit v požadovaném odstínu se nanáší na zpolymerovanou vrstvu GLUMA Bond Universal, zde šlo o Charisma Diamond A3

Vzhledem k minimální tloušťce vrstvy je možné Charisma Diamond nanášet a modelovat v jedné vrstvě

Situace na zubu 23 po polymeraci a odstranění kofferdamu. Nyní je již možné dosáhnout vysoce kvalitního výsledku opravy pomocí minimálního dokončování

Dokončená oprava keramiky pomocí Charisma Diamond meziálně-incizálního defektu na zubu 23 po adhezivním předchozím ošetření povrchu adhezivem GLUMA Bond Universal a vyleštění pomocí Charisma EasyShine
Buďte v obraze
Chcete mít pravidelný přehled o nových článcích na tomto webu, akcích a dalších novinkách? Přihlaste se k odběru newsletteru.
Odesláním souhlasíte s našimi zásadami zpracování osobních údajů.
vzdělávací akce
Pá 30. 1. 2026 – So 31. 1. 2026 | 1,5 dne
Články
16. 6. 2025 | Protetika
Tímto příspěvkem navazuji na článek 3D tištěné skelety: klinicky přívětivější skeletové náhrady. Přiblížím vám zde, jaké přesnosti po vytištění lze zúročením zkušeností a dobrou spoluprací s CAD designérem u skeletů dosáhnout. Dále také upozorním na trend, který se u nás zatím příliš neuchytil, ale ve světě je zcela běžný – absenci opakeru na retencích skeletu pro pryskyřici.
Články
23. 9. 2025 | Protetika
Multidisciplinární případ ukazující univerzálnost materiálu IPS e.max Ceram pro dosažení přirozeného a vysoce estetického výsledku.
Články
6. 5. 2025 | Protetika
Digitální pracovní postup umožňuje využití polychromatických disků s optickými vlastnostmi podobnými přirozenému zubu. Ty minimalizují nebo dokonce eliminují potřebu individualizace či charakterizace, pokud je materiál vybrán na základě specifických potřeb pacienta. Klíčovým faktorem je vysoká věrnost barev odpovídající přirozenému zubu, plynulý přechod odstínu od krčku k incizi a přirozená hra světla s efekty napodobujícími skutečný zub.
- Zubní lékař zubní lékař
- Zubní lékař Hledáme stomatologa do Mostu- Unikátní podmínky
- Dentální hygienistka Dentální hygienistka / hygienista – HPP, Židlochovice
- Zubní lékař Zubní lékař Prémiová klinika odpolední směny
- Zubní lékař Hledáme zubního lékaře / zubní lékařku Ústí nad Labem










