Přesná reprodukce přirozeného chrupu: Celokeramické korunky ve složité frontální náhradě
Imitace přirozeného chrupu je při výrobě protetických náhrad tou největší výzvou. Přirozený vzhled je vždy dán celou řadou různých individuálních charakteristik, takže technika použitá k reprodukci zubů nemůže být vždy stejná. To je důvod, proč je pro nás nezbytné pozorovat, učit se a rozpoznávat jemné detaily a každý den se krok za krokem vyvíjet. Základem napodobení přírody je znalost individuálních vlastností zdravých zubů a keramických materiálů. Zvláště reprodukce světelně optických vlastností je pak výzvou, která vyžaduje hloubkové vnímání barev. K úspěšnému výsledku podstatně přispívají vlastnosti jako je odraz světla, jeho přenos a fluorescence. Pokud jde o imitaci světelně optických vlastností, základní struktura je tvořena třemi základními vrstvami: translucentní, částečně translucentní a opakní. Povrchová barva se pak nanáší na základě trojrozměrné koncepce barev. Přestože se staly, díky pokroku ve vědě v oblasti materiálů, velmi oblíbenými nejmodernější materiály (např. polychromatický oxid zirkoničitý), je v případě estetických náhrad stále nepostradatelná keramika pro vrstvení, nanášená ručně. V tomto článku budou na dvou kazuistikách prezentovány osvědčené techniky. Použity byly špičkové materiály IPS e.max® Ceram Selection Enamel a Effect spolu s praktickými barvivy a glazurou IPS Ivocolor®. Obě klinické situace se ukázaly být výzvou co se týče reprodukce světelně optických vlastností. Napodobit přírodu však možné je!

Kazuistika 1
Počáteční situace a plán ošetření
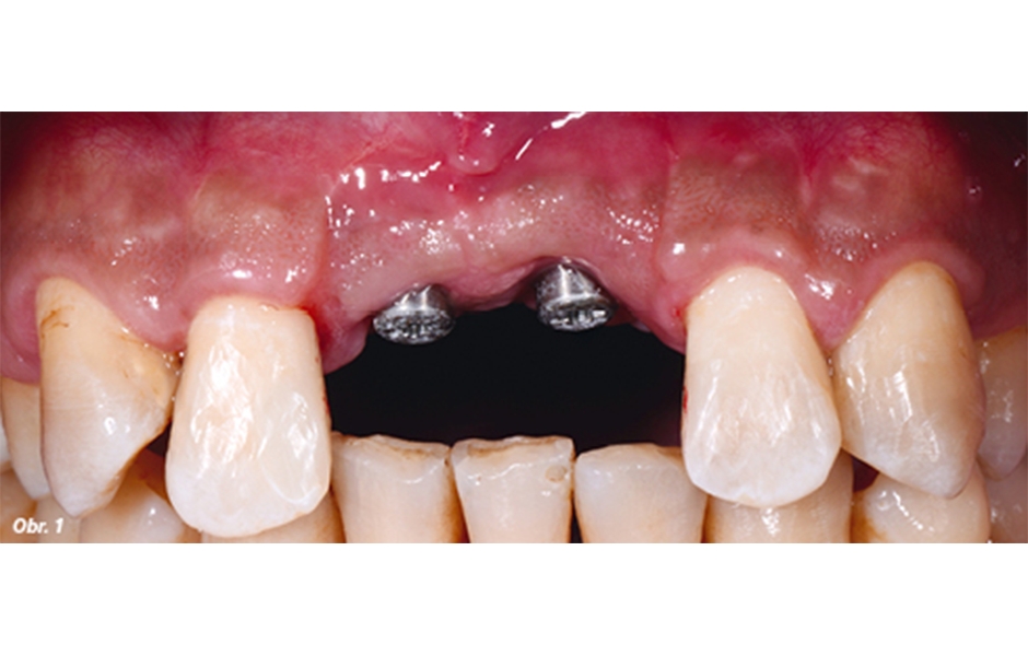
50letý pacient utrpěl frakturu kořenů zubů 11 a 21 v důsledku nehody. Zuby nebylo možné zachránit. Po pečlivé extrakci byla zjištěna podstatná resorpce měkkých tkání. Po konzultaci se pacient přiklonil k ošetření implantáty. Předtím však bylo nutné provést zákrok na labiálních měkkých tkáních. Cílem bylo upravit gingivální obrysy tak, aby bylo možné dosáhnout perfektního výsledku i navzdory vysoké linii úsměvu (gummy smile). Vzhledem k pokročilé resorpci měkké tkáně byla zhotovena rekonstrukce frontálních zubů z keramiky modifikovaná gingivální částí, přičemž byla vzata v úvahu estetická a hygienická hlediska.
Dva horní střední řezáky zaujímají z estetického hlediska významnou pozici, protože dominance těchto zubů vyjadřuje individualitu pacienta. Kromě toho jsou střední řezáky počátečním bodem, který určuje návaznost a symetrii ostatních zubů. V tomto případě bylo z estetického hlediska důležité začlenit asymetrické frontální zuby. Dolní frontální zuby byly stěsnané a nebyly v kontaktu s antagonisty.
S ohledem na funkční integraci musely být horní frontální korunky umístěny v úzké meziodistální oblasti. Do oblasti zubů 11 a 21 byly zavedeny implantáty se zohledněním chirurgických a protetických požadavků. Po oseointegraci by měly být implantáty opatřeny spojenou šroubovanou celokeramickou náhradou (obr. 1, 2).
Důležité technologické prvky
Při zhotovování celokeramických korunek se musí s velkou pečlivostí provést následující kroky:
- Kontrola opacity, která ovlivňuje jas
- Individualizace incizní hrany pomocí translucentních nebo opakních materiálů
V závislosti na opacitě materiálu základní konstrukce je možné dosáhnout vhodného jasu pomocí materiálů Deep Dentin nebo Power Dentin (IPS e.max Ceram), a to i u materiálů s vysokou translucencí. Za účelem reprodukce přirozeného odstínu zubu je důležité znát průnik a odraz světla. Podobně důležité je i zkušené vytvoření světelně optických efektů (např. fluorescence, opalescence). Zde se používají nové materiály IPS e.max Ceram SelectionEnamel a Effects. Díky této sadě materiálů je možné ještě lépe vytvořit přirozené individuální vlastnosti zubu. Obrázky 3–5 naznačují postup vrstvení.
Abychom dosáhli úplné estetické integrace implantátů, nejen s ohledem na odstín a tvar zubu, je také důležité zajistit, aby byla povrchová textura vhodně uzpůsobena prostředí dutiny ústní. Aby vypadala povrchová textura co možná nejpřirozeněji, musí se uzpůsobit jemné charakteristiky (např. povrchový lesk). Pozn.: Povrchový lesk mění odraz světla, a proto ovlivňuje odstín. Z tohoto důvodu je zásadní upravovat povrchovou texturu skutečně pečlivě. V tomto případě byl k dokončení povrchu použit systém barviv a glazur IPS Ivocolor.
Výsledky
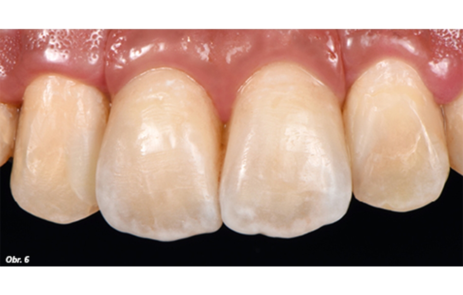
Dokončené korunky byly pomocí šroubků připevněny na implantáty a posuzovali jsme výsledek. Přirozeného vzhledu bylo, kromě dalších faktorů, dosaženo díky záměrné asymetrii zubů. Gingivální obrysy byly uzpůsobeny ideálně. Náhrada a měkké tkáně se vzájemně krásně doplňovaly. Jednalo se o náročný a složitý případ. Výsledky byly potěšující pro všechny zúčastněné. Předčily i prognózu stanovenou před ošetřením.
Publikováno: StomaTeam 6/2017

Situace po zavedení implantátů v oblasti zubu 11 a 21 po zhojení

Zirkonová konstrukce – translucence konstrukce poskytuje dobrý základ pro estetickou a barevně přirozenou náhradu

K napodobení dásní byl použit materiál IPS e.max ZirPress G4, základní opacita korunek byla definována materiálem IPS e.max Ceram Deep Dentin A3. Dále byly technikou postupného vrstvení naneseny materiály, IPS e.max Ceram Dentin A3.5, IPS e.max Ceram Powe

Dále byly za účelem imitace hloubky v krčkové oblasti zubu naneseny materiály IPS e.max Ceram Special Incisal šedý a Cervical Transpa oranžový, IPS e.max Ceram Selection Special Enamel quartz (SEqu) a IPS e.max Ceram Opal 2 (OE2). K individualizaci incizn

Kromě toho byly mamelony naneseny přímo na labiální a linguální oblasti. K tomuto jsme použili materiál, IPS e.max Ceram DD A3 a OD oranžový, abychom docílili iluze hloubky směrem k incizní hraně (pozn.: translucence incizní hrany je určena množstvím kera

Zuby a měkké tkáně se povedlo rekonstruovat esteticky i funkčně. Keramika umožnila výbornou reprodukci odstínu s mnoha individuálními charakteristikami.

Zuby a měkké tkáně se povedlo rekonstruovat esteticky i funkčně. Keramika umožnila výbornou reprodukci odstínu s mnoha individuálními charakteristikami.
Buďte v obraze
Chcete mít pravidelný přehled o nových článcích na tomto webu, akcích a dalších novinkách? Přihlaste se k odběru newsletteru.
Odesláním souhlasíte s našimi zásadami zpracování osobních údajů.
Zaujala vás ukázka článku?
Celý článek můžete prostudovat v časopisu StomaTeam
Prohlédněte/stáhněte si celý časopis ve formátu PDF ❯
Články
5. 1. 2024 | Protetika
S pokračujícím stárnutím populace dojde k nebývalému demografickému přerozdělování. Do roku 2050 se celosvětově...
Články
6. 5. 2025 | Protetika
Digitální pracovní postup umožňuje využití polychromatických disků s optickými vlastnostmi podobnými přirozenému zubu. Ty minimalizují nebo dokonce eliminují potřebu individualizace či charakterizace, pokud je materiál vybrán na základě specifických potřeb pacienta. Klíčovým faktorem je vysoká věrnost barev odpovídající přirozenému zubu, plynulý přechod odstínu od krčku k incizi a přirozená hra světla s efekty napodobujícími skutečný zub.
Články
15. 5. 2025 | Protetika
Aidite 3D Pro Zikón: Revolučný materiál v oblasti zubnej protetiky, známy svojou výnimočnou pevnosťou, estetickým vzhľadom a všestrannosťou. ento pokročilý zirkónový materiál vyniká vďaka svojmu unikátnemu viacvrstvovému dizajnu, ktorý napodobňuje prirodzený gradient ľudských zubov.
- Ostatní Přijmeme recepční
- Zubní sestra Zubní instrumentářka
- Zubní lékař Nabídka zaměstnání zubní lékař Olomouc
- Ostatní Pronájem zavedené zubní ordinace
- Zubní lékař Hledáme stomatologa do Mostu- Unikátní podmínky












