Oboustranná ageneze postranních řezáků: řešení pomocí přímých kompozitních fazet
Kazuistika z knihy AFG Modelling
Pacientka se dostavila do mé ordinace se stížností na nehezký úsměv, který chtěla zlepšit. Při vyšetření bylo zjištěno, že jí chybí postranní řezáky, tzn. ageneze postranních řezáků – na jejich místo se posunuly špičáky. Každý distální zub se posunul meziálně, tedy první premolár se posunul na místo špičáku atd. (obr. 1–5). Ošetření tedy sestávalo z konzervativní rekonstrukce zubů 12, 11, 21, 22 s použitím principů AFG (anatomické funkční geometrie) pomocí estetických kompozitních fazet.

Etiologie
Nejčastější etiologie chybějících postranních řezáků je genetická, nicméně vývoj postranních řezáků může nepříznivě ovlivnit i několik patologických stavů, jako je spála, syfilis nebo poruchy výživy. Prevalence chybějících postranních řezáků v populaci je obvykle pod 2 %, přičemž se častěji vyskytuje u žen.
Studie ukázaly, že vrozeně chybějící postranní řezáky mohou na estetické úrovni ovlivňovat sebevědomí a sociální vztahy postižených jedinců, a proto většina z nich hledá nějakou formu estetického ošetření zubů. Ačkoli je mezi zubními lékaři nejoblíbenější konzervativní ošetření, někteří hojně využívají také pomoc ortodontistů, orálních chirurgů, parodontologů a protetiků.
Obecně vzato může jednostranná či oboustranná ageneze postranních řezáků zahrnovat:
- Perzistující dočasné zuby
- Přítomnost prostoru mezi středními řezáky a špičáky
- Meziální posun všech zubů stojících distálně za postranními řezáky, přičemž špičáky zaujmou prostor, kde by se měly nacházet postranní řezáky
Podrobnosti k technice AFG
Technika AFG modelace byla vytvořena Albertem Battistellim. Pomocí jeho systému je možno při zhotovování náhrad rychle a přesně dosáhnout přirozeného trojrozměrného tvaru zubů za použití jednoduchých matematicko-geometrických kritérií.
Abychom úspěšně vytvořili individualizovanou reprodukci přirozené anatomie zubů a dosáhli esteticky optimálního výsledku pomocí techniky AFG, musí zubní lékař:
- Znát standardní anatomické rozměry zubů
- Ovládat techniky tvarování
- Znát základní geometrické linie určující vytváření individuálního tvaru zubů
- Být schopen vypozorovat a reprodukovat anatomické detaily
Lékařem plánované anatomické změny (tj. změny tvaru, objemu a délky) zubů je samozřejmě vhodné konzultovat s pacientem a předem od něj získat informovaný souhlas. Nejjednodušším prostředkem konzultací jsou digitální vizualizace výsledku plánované procedury.
Laboratorní procedury
Předběžné laboratorní procedury zahrnují:
- Zhotovení silikonových otisků a následné vytvoření pracovních modelů z tvrdé sádry typu Stone
- Zhotovení diagnostického wax-upu (který bude důležitou referencí pro konzervativní postup)
- Zhotovení silikonových klíčů na základě diagnostického wax-upu (obr. 6) – rozříznuté klíče budou sloužit jako anatomická šablona při modelaci kompozitních fazet a předtím pro výrobu demonstrační náhrady (obr. 7–9), na které pacient ještě před zahájením vlastního ošetření v ústech uvidí, jak budou jeho zuby ve výsledku vypadat (obr. 10)

Počáteční stav – snímek úsměvu pacientky

Počáteční stav – snímek horních frontálních zubů

Počáteční stav – snímek průběhu gingivy

Snímky ze strany zachycují pozici špičáků v místech postranních řezáků

Snímky ze strany zachycují pozici špičáků v místech postranních řezáků

Klíče ze silikonového tmelu

Klíče ze silikonového tmelu

Klíče ze silikonového tmelu

Klíče ze silikonového tmelu

Mock-up provizorní náhrady nasazený v ústech, aby měla pacientka představu o výsledku

Vestibulární redukce

Incizální redukce

Nasazení kofferdamu a přiložení silikonového klíče

Rekonstrukce distální stěny zubu 12

Rekonstrukce incizní hrany zubu 22

Leptání 37% kyselinou fosforečnou po dobu 30 sekund

Nanášení adheziva

Vytvrzování světlem po dobu 20 sekund

Palatinální a incizální dostavba kompozitem za použití silikonového klíče

Druhá vrstva kompozitu

Poslední vrstva kompozitu. Začíná individualizace

Vtírání modelační tekutiny do kompozitu

Předběžná modelace

Podélné osy zubů zaznamenané formou mřížky…

… se zvýrazněnými liniemi úhlů

Byla použita sada disků s různou hrubostí

Byla použita sada disků s různou hrubostí

Byla použita sada disků s různou hrubostí

Vytváření rýh

Leštění pastou s oxidem hlinitým na lešticím kartáčku

Leštění gumovými leštítky

Byly použity dokončovací pásky

Konečný výsledek

Konečný výsledek

Konečný výsledek

Konečný výsledek
Stomatologické procedury přeměny špičáků na postranní řezáky
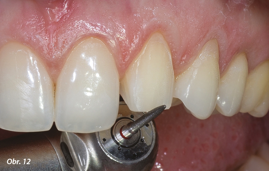
Při úpravě bukálních plošek špičáků pomocí diamantového brousku je nutno provést dostatečnou vestibulární a incizální redukci tvaru zubů (obr. 11, 12) v takovém rozsahu, aby byla celá preparace menší než diagnostický wax-up postranních řezáků. Rovněž je nutno vytvořit takový průběh emergence profilu výsledné náhrady, který bude vzhledově odpovídat postranním řezákům.
Jakmile byla dokončena redukce tvaru zubů, byl k vyhodnocení správnosti redukce v incizální oblasti použit rozříznutý silikonový klíč. Zuby byly izolovány kofferdamem, který byl svazkem zubní nitě zatlačen subgingiválně (obr. 13). Po naleptání kyselinou a aplikaci adheziva pak byly pomocí kompozitní pryskyřice vytvarovány kontakty a dostavěny incizní hrany (obr. 14, 15).
Zbývající kroky zahrnovaly:
- Opětovné naleptání kyselinou fosforečnou po dobu 30 sekund (obr. 16)
- Nanesení hydrofobního adheziva na strukturu zubů mikroštětečkem (obr. 17)
- Světelnou polymeraci po dobu 20 sekund (obr. 18)
- Dotvoření incizálního okraje za použití silikonového klíče (obr. 19)
- Nanesení druhé dentinové vrstvy kompozitu (obr. 20)
- Nanesení poslední vrstvy kompozitu (obr. 21)
- Potření kompozitu štětečkem namočeným v modelovací tekutině (obr. 22), díky čemuž byl méně lepivý a urychlil se tak proces jeho tvarování. Současně bylo také provedeno uhlazení kompozitu do takového stavu, aby byla snazší procedura leštění. Obrázek 23 zachycuje předběžný výsledek.
Po dokončení modelace horních čtyř řezáků následovalo postupné začlenění AFG matematicko-geometrických kritérií. Nejprve je nutno si představit dlouhou osu zubů za pomoci mřížky linií (obr. 24) a také imaginární body, které jsou připojeny za účelem reprezentace linií úhlů (obr. 25) a pomohou dosáhnout ideálních obrysů zubů a emergence profilu výsledné náhrady. První opracování kompozitu bylo provedeno hrubými disky (obr. 26–28). Následovalo vybroušení trojúhelníků do kompozitu vícebřitým karbidovým brouskem (za použití lehkých poklepů a kývavých pohybů) pro individualizaci povrchových rýh (obr. 29). Nakonec bylo pomocí lešticích kartáčků a jemných silikonových nástrojů provedeno dokončení úpravou povrchu (obr. 30, 31), aproximální oblasti byly vyleštěny jemnými (bílými) dokončovacími páskami (obr. 32), aby bylo u celé definitivní dostavby dosaženo vysokého lesku pro přirozenou estetiku, ale také jako prevence ukládání plaku a dráždění dásní.
Závěr
Konzervativní preparace pro kompozitní fazety a následné přímé zhotovení kompozitních fazet, které napodobily postranní řezáky, vyřešily problém pacientky s jejich agenezí. Použitím techniky AFG modelace a mých detailních technik dokončování a leštění bylo dosaženo anatomického, funkčního a vysoce estetického výsledku (obr. 33–36).
Buďte v obraze
Chcete mít pravidelný přehled o nových článcích na tomto webu, akcích a dalších novinkách? Přihlaste se k odběru newsletteru.
Odesláním souhlasíte s našimi zásadami zpracování osobních údajů.
Čt 18. 6. 2026 – So 20. 6. 2026 | 3 dny
Články
1. 4. 2026 | Protetika
Mnoho zubních techniků si myslí, že kvalitní zubní laboratoř poznáte podle krásných korunek.
Články
6. 5. 2025 | Protetika
Digitální pracovní postup umožňuje využití polychromatických disků s optickými vlastnostmi podobnými přirozenému zubu. Ty minimalizují nebo dokonce eliminují potřebu individualizace či charakterizace, pokud je materiál vybrán na základě specifických potřeb pacienta. Klíčovým faktorem je vysoká věrnost barev odpovídající přirozenému zubu, plynulý přechod odstínu od krčku k incizi a přirozená hra světla s efekty napodobujícími skutečný zub.
Články
15. 5. 2025 | Protetika
Aidite 3D Pro Zikón: Revolučný materiál v oblasti zubnej protetiky, známy svojou výnimočnou pevnosťou, estetickým vzhľadom a všestrannosťou. ento pokročilý zirkónový materiál vyniká vďaka svojmu unikátnemu viacvrstvovému dizajnu, ktorý napodobňuje prirodzený gradient ľudských zubov.
- Zubní sestra ZUBNÍ SESTRA - INSTRUMENTÁŘKA
- Zubní lékař Zubní lékař/ka Nový Malín
- Zubní lékař Zubní lékař/lékařka – pondělí + pátek | moderní ordinace v
- Zubní lékař Přijmeme zubního lékaře/lékařku
- Dentální hygienistka Dentální hygienistka v Dejvicích na 1 den v týdnu













