Monolitické korunkové náhrady z nového lithium disilikátu pro CAD/CAM zpracování: Initial LiSi Block
Lithium disilikát je velice oblíbená sklokeramika, a to díky její vyváženosti mezi pevností a estetikou. Společnost GC nedávno uvedla na trh první plně krystalizovaný lithium disilikátový bloček pro CAD/CAM zpracování s názvem Initial LiSi Block. Materiál je založen na pokročilé technologii mikronizace s vysokou hustotou (High Density Micronisation – HDM), která mu dodává jeho charakteristickou mikrostrukturu s jemnými, hustě rozptýlenými krystaly a dokonalou okrajovou přesností.

Kazuistika
Pacientka požádala o ošetření, protože nemohla žvýkat na pravé straně. Na zubech 45 a 46 měla staré korunky a celkově abradovaný chrup. V oblasti zubu 47 měla zavedený implantát v úrovni kosti (bone level) (obr. 1).
Po zhotovení alginátového otisku byly vyrobeny modely výchozí situace (obr. 2). Model dolní čelisti byl použit pro zhotovení individuální otiskovací lžíce s perforací v oblasti zubu 47 a současně byl zhotoven otisk z materiálu EXACLEAR pomocí konfekční sekční otiskovací lžíce (obr. 3), který posloužil ke zhotovení provizorní náhrady na zuby 45 a 46.
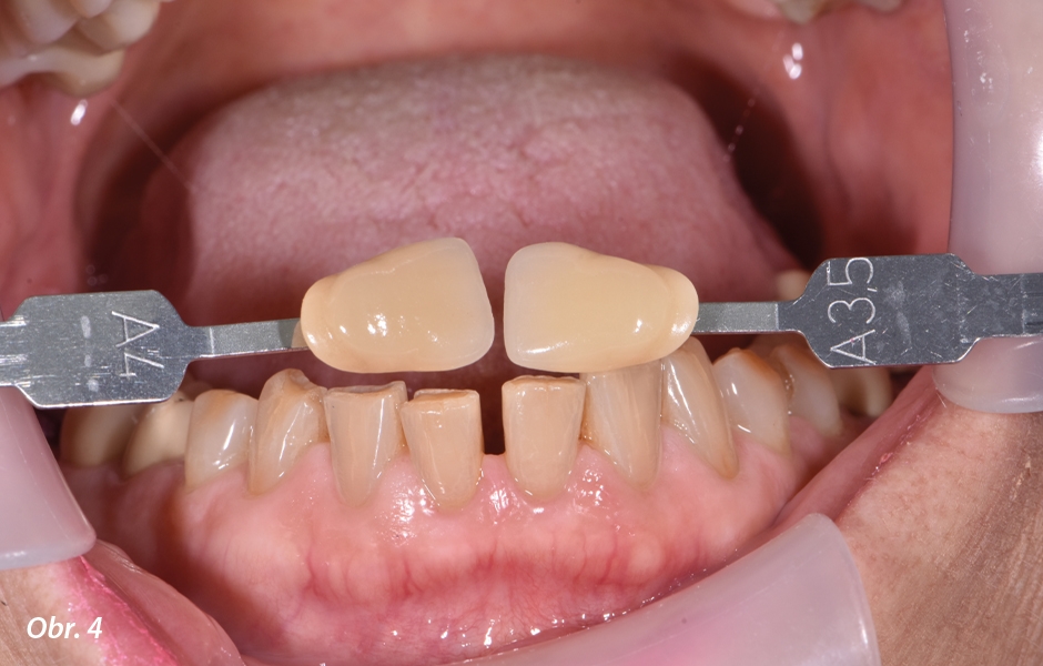
Před zahájením ošetření byl stanoven odstín zubů (obr. 4).
Byly sejmuty staré korunky a odstraněna kariézní hmota (obr. 5). Poté byly z materiálu G-ænial Universal Injectable zhotoveny dostavby pahýlů a jejich následná preparace zakončená oblým schůdkem.
Byl odšroubován vhojovací váleček a na implantát v oblasti zubu 47 byl našroubován otiskovací abutment. Aby byl jasně patrný okraj preparace u pilířových zubů 45 a 46, byla použita retrakční vlákna (obr. 6). Poté byl na preparované pahýly umístěn gutaperčový tlakový obvaz (obr. 7), který měl zajistit kompresi marginální gingivy, a byl tedy na místě ponechán až do okamžiku otiskování. Otisk byl zhotoven technikou dvojího míchání (obr. 8). Poté byla na zuby 45 a 46 zhotovena provizorní náhrada z duálně tuhnoucího kompozitu na provizorní korunky a můstky (TEMPSMART DC) a provizorně nacementována pomocí cementu FREEGENOL (obr. 9, 10).
Otisk byl odlit a sádrový model spolu s modelem protilehlé čelisti byly naskenovány (obr. 11). Korunky byly navrženy a parametry frézování nastaveny za použití CAD/CAM programu (PowerMill Pro, Autodesk) (obr. 12).
Korunky byly vyfrézovány z lithium disilikátových CAD/CAM bločků (Initial LiSi Block, odstín A2). Pro korunku na implantát v oblasti zubu 47 byl zvolen speciální bloček pro abutmentová řešení (obr. 13). Jednou z výhod bločků Initial LiSi Block je jejich vysoká opalescence, zvláště pak u vysoce translucentních odstínů (HT). Ta umožňuje dosahovat vysoce estetických výsledků i bez další individualizace.
Buďte v obraze
Chcete mít pravidelný přehled o nových článcích na tomto webu, akcích a dalších novinkách? Přihlaste se k odběru newsletteru.
Odesláním souhlasíte s našimi zásadami zpracování osobních údajů.
Po 35 minutách frézování (exocad PowerMill CAM, DMG) byla náhrada z bločku odstraněna a vtokový kanál uhlazen. Následně byly korunky nasazeny na samostatné pahýly a na model. Korunkové náhrady disponovaly dokonalou přesností včetně okrajového uzávěru (obr. 14, 15).
Předplaťte si StomaTeam ONLINE a získejte neomezený přístup ke kompletnímu obsahu StomaTeamu.
objednat předplatné
Články
12. 11. 2025 | Protetika
Tato kazuistika se zabývá integrací technologií Ceramill FDS, Zebris, M-Smile a Ivotion při výrobě celkových náhrad. Pacientka, nositelka celkových náhrad po dobu 36 let, vyžadovala zlepšení estetiky a retence.
Články
6. 5. 2025 | Protetika
Digitální pracovní postup umožňuje využití polychromatických disků s optickými vlastnostmi podobnými přirozenému zubu. Ty minimalizují nebo dokonce eliminují potřebu individualizace či charakterizace, pokud je materiál vybrán na základě specifických potřeb pacienta. Klíčovým faktorem je vysoká věrnost barev odpovídající přirozenému zubu, plynulý přechod odstínu od krčku k incizi a přirozená hra světla s efekty napodobujícími skutečný zub.
Články
15. 5. 2025 | Protetika
Aidite 3D Pro Zikón: Revolučný materiál v oblasti zubnej protetiky, známy svojou výnimočnou pevnosťou, estetickým vzhľadom a všestrannosťou. ento pokročilý zirkónový materiál vyniká vďaka svojmu unikátnemu viacvrstvovému dizajnu, ktorý napodobňuje prirodzený gradient ľudských zubov.
- Zubní lékař ZUBNÍ LÉKAŘ/KA - příprava 3D léčebných plánů
- Zubní sestra Zubní instrumentářka
- Zubní technik Zubní laborant / CAD/CAM
- Zubní technik Zubní technik
- Dentální hygienistka THE CLINIC s.r.o. HLEDÁ DENTÁLNÍ HYGIENSTU/KU!
Pá 23. 1. 2026 – So 24. 1. 2026 | 09:00 – 17:00 hod., 2 dny











