Kompozitní fazety injekční metodou – nejčastější dotazy
Kromě keramických fazet a přímých dostaveb existuje další způsob, jak dosáhnout estetického vzhledu rekonstrukce zubů ve frontálním úseku, a to pomocí injekční techniky (injectable moulding technique). Při této metodě se na základě laboratorního wax-upu rekonstrukce zhotoví průhledný silikonový klíč – mock-up, přes který se vstřikuje flow kompozitní materiál. V tomto článku shrneme některé aspekty a dotazy na téma injekční techniky.

Výhody
Kompozitní fazety zhotovené injekční technikou vždy 100% přiléhají k zubu, protože se tekutý materiál může dostat i do podsekřivých míst. Zároveň nevyžadují žádnou přípravu povrchu ve smyslu preparace, pouze minimálně invazivní přípravu leptáním (60 s) nebo pískováním. Konečný vzhled fazet bude odpovídat kvalitě navrženého wax-upu. Nezapomeňte se o této skutečnosti zmínit i svému zubnímu technikovi, protože si nemusí uvědomit, že výsledek bude jen tak dobrý, jak kvalitní je wax-up.
Nevýhody
Fazety vyrobené touto technikou nemají tak dlouhou životnost (garance na 5 let) jako keramické fazety, nemluvě o tom, že časem ztrácejí na estetice. Nevýhodou oproti volné modelaci jsou náklady, do kterých je třeba započítat náklady na zhotovení wax-upu a průhledného silikonového klíče (mock-upu).

Jak předvídatelně dosáhnout správného odstínu zubů?
Barva pahýlu ovlivní výslednou barvu zubu. Můžeme použít silnější vrstvu kompozitu, abychom mírně upravili odstín, ale pokud to přeženeme, budou fazety vypadat uměle. Aby fazety vypadaly co nejpřirozeněji, můžeme pro špičáky (např. A3) použít o odstín tmavší flow kompozitní materiál než pro řezáky (A2). Pokud si pacient přeje bělejší úsměv, poskytneme mu před celým zákrokem domácí bělení. Stále však platí, že samotný tvar zubů má na estetiku větší vliv než odstín. Aby si fazety zachovaly svůj lesk co nejdéle, neměli bychom je pískovat (to platí zejména při návštěvách DH).
Jak zabráníme přetečení materiálu do aproximálního prostoru?
Jednou z nejčastěji kladených otázek týkajících se této techniky je, jak zabránit vniknutí zbytkového materiálu do mezizubního prostoru. Abychom této komplikaci předešli, necháváme zhotovit a používáme 2 silikonové klíče. První z nich má prostor pro fazety na každém druhém zubu, zatímco druhý má prostor pro fazety na všech zubech. V první fázi oblepíme každý druhý zub teflonovou páskou a adhezivně připravíme všechny okolní zuby. Tímto způsobem bude mít materiál méně prostoru k vytékání, protože jenom na každém druhém zubu je místo pro fazetu. Ve druhé fázi odizolujeme zuby s fazetami a naleptáme zbývající zuby.
Intraorální protokol
Oproti modelování z volné ruky je rozdíl pouze v technice, nikoli v intraorálním protokolu, takže se nemusíte učit žádný nový speciální postup.
Analogový nebo digitální wax-up
Zhotovení dvou téměř identických wax-upů pro zabránění přetečení materiálu (viz odstavec výše) analogovou metodou je nákladné a časově náročné – pro zubního technika pracujícího s CAD softwarem to však není problém. Technik snadno upraví navržený digitální model a nechá jej vytisknout. V naší laboratoři EUROZAHN máme zubní techniky, kteří se věnují výhradně práci v CAD softwaru. Bohužel u 3D tisku přicházíme o terciární strukturu zubu, jako jsou perikymata, kvůli omezení technickými parametry samotné tiskárny.
Jak dlouho celý zákrok trvá?
Vlastnímu zákroku obvykle předchází konzultace s pacientem, sejmutí otisků situace, registrace mezičelistních vztahů, pořízení fotografií, plánování pomocí softwaru DSD a vyzkoušení mock-upu. Tedy celkem 5 návštěv. Na začátku je dobré vyhradit si na jeden zub 45 minut. Později byste měli být schopni zhotovit 6–8 fazet za cca 4 hodiny. Tomu bude třeba přizpůsobit konečnou cenu ošetření.

Obr. 1: Úvodní extraorální snímek.

Obr. 2: Úsměv pacientky před zákrokem.

Obr. 3: Zobrazení opotřebovaných zubů, mezer a neideálních proporcí zubů a dásní.

Obr. 4: Nutnost prodloužení korunky.

Obr. 5: Gingivektomie.

Obr. 6: Tkáně dásní po 2 měsících hojení.

Obr. 7: Diagnostický odlitek.

Obr. 8: Diagnostický wax-up.

Obr. 9: Matrice pro mock-up.

Obr. 10: Mock-up.

Obr. 11: Transparentní matrice pro kompozitní fazety.

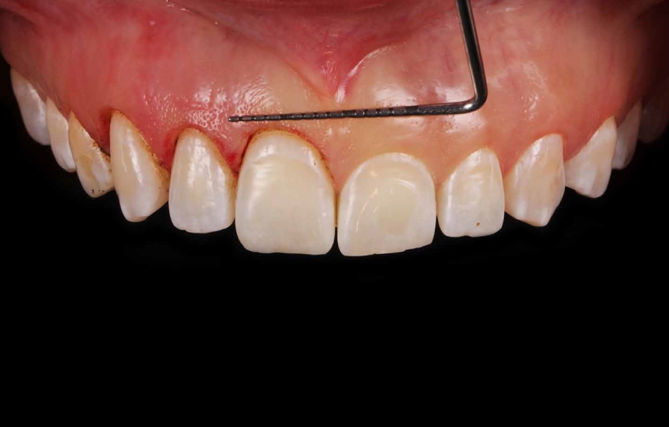
Obr. 12: Leptání zubů.

Obr. 13: Vstřikování flow kompozitního materiálu.

Obr. 14: Flow kompozitní materiál po sundání matrice.

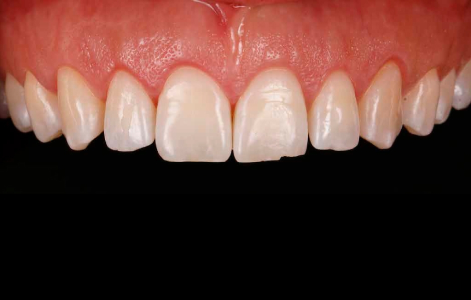
Obr. 15: Kompozitní fazety po vytvrzení.

Obr. 16: Aplikace lešticí pasty.

Obr. 17: Vyhlazení interproximálních kontaktů pomocí extra jemné lešticí pásky.

Obr. 18: Finální extraorální snímek pacientky.

Obr. 19: Finální snímek úst pacientky.
Jak zabránit tvorbě bublinek během injekční fáze?
- Pro každého nového pacienta používáme novou kanylu, protože v již použité mohou být přítomny bublinky.
- Ústí kanyly musí být před započetím injektáže umístěno na dno prostoru pro fazetu. Rovnoměrným tlakem zahájíme injektáž flow kompozitu a kanylu postupně vytahujeme, přičemž ústí kanyly udržujme na hladině vytlačovaného materiálu – nikdy kanylu do vytlačovaného materiálu nezanořujeme, ani ji příliš neoddalujeme.
- Flow materiál aplikujeme až do bodu, kdy začne přetékat přes hranici mock-upu. Tímto způsobem zajistíme, že jsme neaplikovali příliš malé množství materiálu.
- Při vytahování konce kanyly stále vyvíjíme tlak – v injektáži nepřestaneme, dokud není kanyla zcela vytažena z mock-upu.
Video zachycující injekční techniku na fantomovém modelu chrupu:
Pokud pro vás má tento článek přidanou hodnotu, rádi se s vámi podělíme o další informace a novinky ze světa stomatologie. Aby vám neunikly žádné cenné informace, přihlaste se k odběru našeho blogu https://blog.eurozahn.cz. V případě, že máte k tématu jakékoliv dotazy, kontaktujte nás na našem instragramovém účtu a my vám rádi odpovíme.
Buďte v obraze
Chcete mít pravidelný přehled o nových článcích na tomto webu, akcích a dalších novinkách? Přihlaste se k odběru newsletteru.
Odesláním souhlasíte s našimi zásadami zpracování osobních údajů.
Pá 23. 1. 2026 – So 24. 1. 2026 | 09.00 – 18.00 hod., 2 dny
Články
5. 12. 2024 | Protetika
Oxid zirkoničitý patří mezi nejpevnější keramické materiály. v zubní laboratoři. Tento materiál vyniká skvělými mechanickými vlastnostmi v kombinaci s širokou škálou možností barevných variant a transparencí...
Články
26. 9. 2024 | Protetika
Skeletové náhrady mají poměrně „špatnou pověst“ coby náhrady devastující zbylý chrup páčivými silami působícími na kotevní zuby jak při nošení, tak při nasazování a sundávání skeletu. Jak známo, tyto devastační síly...
Články
16. 6. 2025 | Protetika
Tímto příspěvkem navazuji na článek 3D tištěné skelety: klinicky přívětivější skeletové náhrady. Přiblížím vám zde, jaké přesnosti po vytištění lze zúročením zkušeností a dobrou spoluprací s CAD designérem u skeletů dosáhnout. Dále také upozorním na trend, který se u nás zatím příliš neuchytil, ale ve světě je zcela běžný – absenci opakeru na retencích skeletu pro pryskyřici.








