Molárová a incizální hypomineralizace skloviny (MIH)
Molárová a incizální hypomineralizace skloviny (Molar Incisor Hypomineralisation – MIH) je globální problém postihující každé sedmé dítě.1, 2 MIH je běžná vývojová porucha postihující především jeden nebo více prvních stálých molárů. Centrální řezáky mohou být rovněž postiženy, většinou však v menší míře. Může též dojít k hypomineralizaci druhých dočasných molárů (Hypomineralised Lesions on Second Primary Molars – HSPM, hypomineralizační léze druhých stálých molárů) nebo špičáků.3 U dětí s HSPM je až pětkrát vyšší pravděpodobnost vzniku MIH u stálého chrupu. Závažnost se velmi liší od mírných opacit k posterupčnímu odlomení skloviny.
TOP ČLÁNEK – tento článek patří k nejčtenějším článkům na webu StomaTeam.cz.
Molárová a incizální hypomineralizace skloviny (MIH)
V současné době zůstává etiologie MIH neznámá. Byly popsány jisté korelace s prenatálním, perinatálním a postnatálním onemocněním, expozicí antibiotikům nebo chemickým látkám jako dioxin, bisfenol A a polychlorovaný bifenyl – stále však chybí dostatek důkazů.
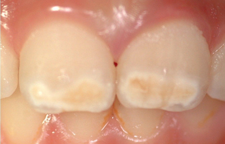
Klinický vzhled
• Ohraničené opacity v rozpětí od krémově bílé, přes žlutou až po hnědé diskolorace • Poškozená sklovina má normální tloušťku (dokud nedojde k posterupčnímu odlomení skloviny) • Léze se mohou vyskytovat asymetricky • Je-li závažně poškozen první molár, existuje zvýšená pravděpodobnost, že protilehlý molár bude rovněž poškozen • Léze na centrálních řezácích jsou obvykle mírnější, někdy však mohou být neestetické
Příznaky
• Hypersenzitivita a snížená reakce na lokální anestetika • Rychlá progrese zubního kazu • Posterupční odlomení skloviny
Klinické řešení MIH je náročné díky:
• Hypersenzitivitě a rychlému rozvoji zubního kazu u postižených zubů • Obtížnému dosahování anestezie • Omezené spolupráci malých dětí • Opakovanému odlamování okrajů dostaveb • Často potřebnému většímu počtu návštěv zubního lékaře
U dětí s MIH často vzniká úzkost ze stomatologického ošetření v důsledku invazivních či dokonce bolestivých stomatologických zákroků v raném věku.
Úvodní léčebný zákrok
Motivace pacienta je první krok
• Zuby je nutno čistit dvakrát denně zubní pastou s obsahem 1000 ppm fluoridů. Obsah fluoridů by měl být přiměřený věku, u starších pacientů mohou být žádoucí vyšší hladiny fluoridů. • Indikační pomůcky jako GC Tri Plaque ID Gel mohou pomoci indikovat kariogenní plak, motivovat pacienty a poskytnout jim příležitost ke zlepšení techniky čištění zubů • Je třeba se vyhnout časté konzumaci cukru a kyselých potravin
Posílení a znecitlivění pomocí GC Tooth Mousse, GC MI Paste Plus a MI Varnish
Lokální léčba těmito preparáty je užitečná pro posílení a snížení citlivosti zubů při MIH. Obsahují Recaldent (CPP-ACP) s vysokým podílem biologicky dostupného vápníku a fosfátu, jehož aplikace se v tomto případě prokázala jako účinná4, 5 k redukci porozit a zlepšení homogennosti hypomineralizované skloviny. Příprvek Tooth Mousse bez obsahu fluoridu se doporučuje pro děti do 6 let a MI Paste Plus s 900 ppm fluoridu ro děti od 12 let. MI Varnish (22600 ppm fluoridu) je ochranný lak určený k ambulantní aplikaci jednou za čtvrt roku po profylaktickém čištění zubů k těsnému zapečetí dentálních tubulů a znecitlivění zubů.
Ochrana povrchů s GC Fuji TRIAGE
Vysoce zatékavý skloionomerní cement Fuji TRIAGE pomůže ochránit povrch zubů před tvorbou zubního kazu a hypersenzitivitou. Zuby jím mohou být chráněny již po prvním prořezáním. Včasná ochrana je důležitá pro zamezení komplikacím.

Mírná MIH

Střední MIH

Závažná MIH





Obrázky použité v článku byly publikovány s laskavým svolením Dr. Van Amerogena, Nizozemsko; prof. Baroniho, Itálie; Dr. Rouase, Francie; Dr. Van Amerogena, Nizozemsko; prof. Gatóna Hernándeze, Španělsko; Dr. Crombieho, Austrálie; Dr. Marinové, Bulharsko.
Restorativní léčba
Minimálně invazivní výplně s EQUIA Forte HT
Hybridní skloionomerní cement EQUIA Forte HT je vhodný k dlouhodobé i provizorní minimálně invazivní restorativní léčbě. V některých případech závažné MIH nelze kvůli nízkému věku ihned zhotovit definitivní výplně. Je však nezbytná včasná léčba k zastavení a odvrácení tvorby zubního kazu. Rychlá aplikace tohoto cementu v silnější vrstvě představuje značnou výhodu u dětských, úzkostných pacientů.
Kontrola
Dodržujte režim uzpůsobený reakci na léčbu
Frekvence kontrol je u pacientů s MIH zpravidla vyšší kvůli vysokému riziku zubního kazu. Je třeba mít na paměti několik bodů:
• Výplně je třeba pravidelně kontrolovat, protože adheze k hypomineralizované sklovině je náročná • Je důležité, aby pacient neustále dodržoval zásady domácího ošetřování a pravidelně kontrolovat jeho účinky • Je třeba pravidelně vyhodnocovat ústní hygienu (pomocí Tri Plaque ID Gel) a stravovací návyky • Prozatímní léčebné výplně je nutno sledovat a jakmile jsou okolnosti vhodné pro definitivní léčbu, je třeba je nahradit
Významnou součástí preventivní strategie je domácí péče. Důležité je motivovat a zajistit osvětu dítěte / pečující osoby, protože jsou to právě oni, kdo budou muset zavést správné návyky, pokud jde o ústní hygienu a zdravé stravování.
Buďte v obraze
Chcete mít pravidelný přehled o nových článcích na tomto webu, akcích a dalších novinkách? Přihlaste se k odběru newsletteru.
Odesláním souhlasíte s našimi zásadami zpracování osobních údajů.
St 7. 10. 2026 | 12.00 – 12:15 hod.
Články
13. 4. 2026 | Obecná stomatologie
Moderní stomatologická praxe klade na dentální profesionály řadu nároků. Tento článek představuje inovativní dentální kompozitum společnosti VOCO, které má potenciál zásadně zjednodušit klinický pracovní postup.
Články
22. 4. 2026 | Interview / reportáž
Polovina dubna již tradičně patří setkání členů a členek Asociace dentálních hygienistek České republiky v rámci Jarní konference a sněmu. Ani letos nechyběl prostor pro sdílení nových poznatků, inspirací a setkání s milými kolegy.
Články
12. 3. 2026 | Obecná stomatologie
Curasept dnes patří mezi nejuznávanější hráče na trhu orální péče a v Itálii je lídrem v lékárenském segmentu. Stojí za tím model založený na kvalitě a vědě – na výzkumu, inovacích a úzké spolupráci s akademickými institucemi a vědeckými společnostmi doma i v zahraničí.














