Zubní pasta APAPRO®
Remineralizační péče k profesionálnímu použití
APAPRO® je vysoce účinná zubní pasta jak pro profesionální, tak pro domácí použití. Obsahuje vysokou koncentraci < mHAP®>, což je jedinečný, syntetický hydroxyapatit vyvinutý firmou Sangi, Ltd. v Japonsku. < mHAP®> je chemickou a krystalickou strukturou téměř identický s přirozeně se vyskytujícím hydroxyapatitem v zubech. Aplikován je v individuálním nosiči nebo gumovým kalíškem či jiným podobným měkkým lešticím násadcem v kolénku mikromotoru (nebo v bezdrátovém motoru pro profylaxi). APAPRO® chrání a obnovuje zubní sklovinu a dentin nahrazováním ztracených minerálů v oblastech mikroskopického odření povrchu, eroze a podpovrchové demineralizace způsobené kyselinami a opotřebením nebo klinickými procedurami jako je profesionální čištění zubů, kyretáže, bělení a ortodontická léčba. APAPRO® tedy chrání zub před kazem, přináší úlevu při přecitlivělosti dentinu a podporuje bělost zvýšením denzity minerálů a hladkosti povrchu zubů.

Klinické použití je vhodné v těchto indikacích:
1. Po dentální hygieně (scaling nebo profesionální mechanické čištění)
2. Bílé léze nebo iniciální kazy
3. Praskliny, atrice a povrchová poškození přirozeného původu
4. Během a po ortodontické léčbě
5. Po bělení
6. Ochrana před skvrnami
7. Hypersenzitivita dentinu
8. Iniciální kaz kořene
Klinický příklad jedné z indikací: bílé léze a iniciální kazy
Indikace
Oblasti s nedostatkem minerálů pod povrchem skloviny mají vzhled matných bílých opakních skvrn, které jsou všeobecně známy jako bílé léze. Objevují se především jako důsledek rozpouštění podpovrchové skloviny kyselinami plaku (počáteční kaz), vrozeného nedostatku minerálů (hypoplazie skloviny) nebo nadměrného příjmu fluoridů (fluoróza) především v mladém věku. Zatímco hypoplazie skloviny může být vrozeným stavem, který je často obtížně řešitelný, je již známo, že iniciální kaz nebo pokračující rozpouštění podpovrchové skloviny kyselinami plaku může být zastaveno nebo dokonce zvráceno správnou péčí, například nahrazením minerálů.
U APADENT® < mHAP®> zubní pasty je již od roku 1980 v japonských klinických studiích dokázáno, že remineralizuje počáteční kazy a dosahuje výrazné redukce v incidenci nových kazů. Profesionální péče s použitím vyšších koncentrací APAPRO® se také ukázala být velmi efektivní v zastavení a zvrácení vývoje kazu u vysoce rizikových pacientů s pokročilými nebo aktivně pokračujícími bílými lézemi.
Avšak v případech bílých lézí spojených s fluorózou často povrch skloviny ztvrdne do velmi denzní vrstvy fluoridovaného apatitu, takže je přístup obnovujícího minerálu do léze zablokován a bílá skvrna se stává trvalou. V případech fluorózy, a především u těžkých fluorotických lézí může být dostatečný přístup remineralizační léčby pastou s < mHAP®> dosažen pouze po mikroabrazi nebo opakovaném leptání, které obnoví porozitu sklovinného povrchu.
Ošetření
- Po chemickém očištění povrchu zubu NaOCl gelem aplikujte 1–2 g APAPRO® pasty na oblast demineralizace pomocí gumového kalíšku či jiného podobného měkkého lešticího násadce za pomalé rychlosti (500–750 ot./min)
- Rozetřete pastu rovnoměrně na povrch zubu a vtírejte ji jemně do zubu po dobu 20–30 sekund, poté ji lehce vypláchněte vodou
- Na základě závažnosti lézí navrhněte po 1–3 měsících kontrolní návštěvu pro případné další ošetření a doporučte pacientovi používání APADENT® zubní pasty během této doby
- Pokud je bílá léze velká nebo závažná, nebo stále silně persistuje v době kontroly, vybavte pacienta osobním individuálním nosičem a balením APAPRO® pasty pro domácí péči a poučte pacienta o jejím použití
- Opakujte výše uvedený postup podle potřeby a upravujte kontrolní návštěvy a metodu aplikace podle postupné redukce velikosti bílé léze
Klinický příklad
Chlapec, 7 let, s bílými lézemi od dýchání ústy způsobeného krčními uzlinami. Pacient byl také instruován k používání neabrazivní, remineralizující zubní pasty a remineralizující žvýkačky ke zvýšení množství vápníku.
Publikováno: StomaTeam 6/2019

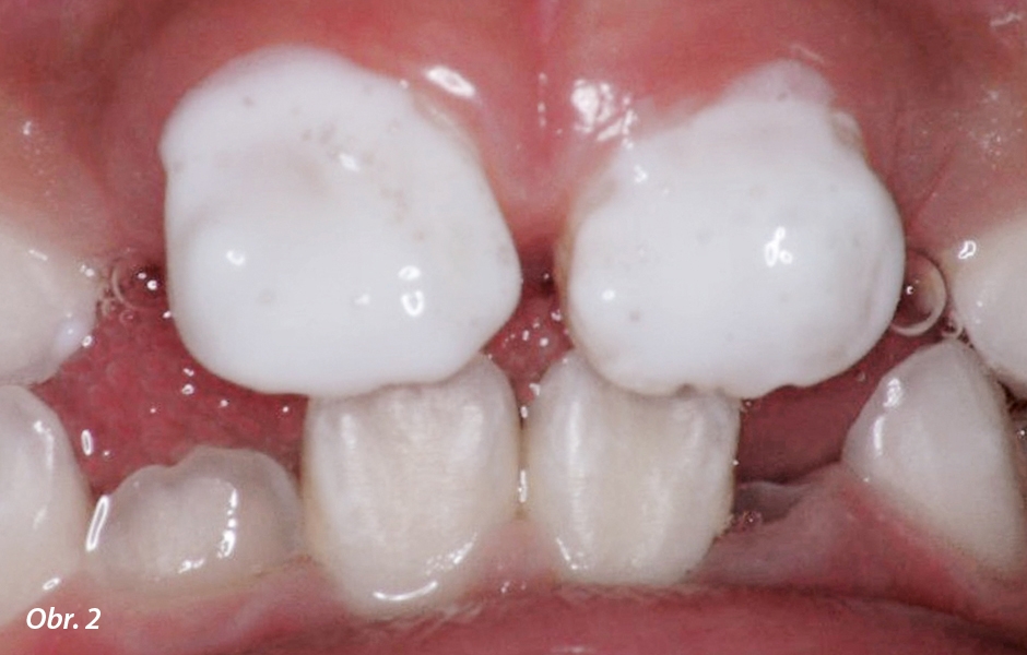
Vzhled při příchodu: plakem obalené nově prořezané stálé zuby

Chemické čištění NaOCl gelem po očištění klasickým kartáčkem

Čištění odhaluje rozsáhlé bílé léze

Ošetření pomocí APAPRO® nejprve každé 2 týdny a následně každý měsíc

Vzhled po 5 letech: bílé léze téměř úplně vymizely
Buďte v obraze
Chcete mít pravidelný přehled o nových článcích na tomto webu, akcích a dalších novinkách? Přihlaste se k odběru newsletteru.
Odesláním souhlasíte s našimi zásadami zpracování osobních údajů.
Články
20. 12. 2024 | Interview / reportáž
Ve středu 26. 2. 2025 se bude v Praze, v Divadle U Hasičů, konat již 14. ročník vzdělávací akce Škachův den. Zájem o tuto akci je již tradičně vyšší než kapacita sálu divadla. Přečtěte si aktuální informace o připravovaném dalším termínu Škachova dne...
Články
16. 9. 2025 | Zprávy z firem
Quakertown, PA (16. září 2025) – Společnost DEXIS, globální lídr v oblasti dentální zobrazovací techniky, s hrdostí rozšiřuje své produktové portfolio o nový intraorální skener DEXIS Imprevo.
Články
1. 3. 2025 | Zprávy z firem
Úvěrová společnost EkoRent dosáhla významného milníku: Celkový objem poskytnutých úvěrů překročil hranici 1,5 miliardy korun. Potvrzuje to rostoucí zájem soukromých lékařů o flexibilní způsoby financování.
- Zubní sestra Hledáme instrumentářku/sestru
- Zubní lékař Hledáme zubního lékaře – moderní ordinace GrinGlow(Kamenice)
- Zubní lékař Zubní lékař Vinohrady
- Zubní lékař Zubní lékař/lékařka
- Zubní technik Zubní technik









