Kazuistiky s Charisma Bulk Flow ONE
Bezpečnost, jednoduchost, efektivita

Případ 1: Do stomatologické ordinace přišel 5letý pacient na ošetření kazu v mléčném chrupu. Při klinickém ošetření byl zjištěn kaz Blackovy II. třídy na distální plošce zubu 84. V souladu s níže popsaným protokolem zhotovování přímé kompozitní výplně byl pacient za účelem ošetření objednán na jednu další návštěvu.
Protokol zhotovování přímé kompozitní výplně:
- Izolace zubu kofferdamem.
- Preparace kavity pomocí diamantových a karbidových frézek.
- Nanesení bondu Gluma Bond Universal na dobu 20 sekund.
- Osoušení vazebného systému Gluma Bond Universal stlačeným vzduchem.
- Polymerace vazebného systému Gluma Bond Universal po dobu 10 sekund.
- Vyplnění kavity v jedné vrstvě materiálem Charisma Bulk Flow ONE.
- Nanesení gelu zabraňujícího vzniku kyslíkové inhibiční vrstvy před závěrečnou polymerací kompozitní výplně.
- Odstranění přebytku kompozitu z distální plošky chirurgickým skalpelem č. 12d.
- Vyleštění kompozitní výplně leštítky a lešticími kartáčky.
- Úprava okluze kompozitní výplně za použití artikulačního papíru o hrubosti 40 µm a 8 µm.
Viz fotogalerie (obr. 1–5).

Případ č. 1: obr. 1

Případ č. 1: obr. 2

Případ č. 1: obr. 3

Případ č. 1: obr. 4

Případ č. 1: obr. 5

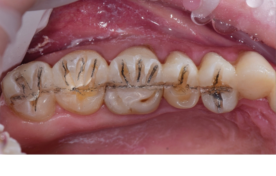
Případ č. 2: obr. 6

Případ č. 2: obr. 7

Případ č. 2: obr. 8

Případ č. 2: obr. 9

Případ č. 2: obr. 10

Případ č. 2: obr. 11

Případ č. 2: obr. 12
Případ 2: Preparace horních distálních zubů s použitím mock-upu – první fáze kompletní rekonstrukce okluze. Po prvotní preparaci jsem na rekonstrukci zubů použil nový materiál Charisma Bulk Flow ONE.
Materiál Charisma Bulk Flow ONE je možno použít ve vrstvě o tloušťce až 4 mm bez dodatečné krycí vrstvy. Díky chameleon efektu výplň barevně splyne s okolními tvrdými tkáněmi. Jeho odolnost vůči abrazi je podobná kompozitům ve formě pasty určeným pro distální zuby. Je rentgenkontrastní a má fenomenální povrchové pnutí. Materiál přesně zateče k okrajům preparace, aniž by je přesáhl.
Poté, co jsem zhotovil výplně zubů, přistoupil jsem k závěrečné preparaci pro overlaye. Správně naplánovaná preparace mi umožnila docílit optimálního prostoru pro umístění provizorní náhrady v podobně 5 spojených členů, kterou jsem zhotovil nepřímo a nacementoval provizorním cementem (v tomto případě jsem použil karboxylový cement).
Viz fotogalerie (obr. 6–12).
Buďte v obraze
Chcete mít pravidelný přehled o nových článcích na tomto webu, akcích a dalších novinkách? Přihlaste se k odběru newsletteru.
Odesláním souhlasíte s našimi zásadami zpracování osobních údajů.
Články
5. 3. 2024 | Zprávy z firem
Jihokorejská společnost Osstem Implant, uznávaná pro svá komplexní...
Články
2. 4. 2025 | Zprávy z firem
Když pacient přichází na profesionální dentální hygienu, očekává zlepšení estetiky svého úsměvu. Pokud však nemá povrchové zabarvení zubů, je mnohdy výsledkem zklamán. Po dlouhém sezení, které může být nepříjemné až bolestivé, vidí své zuby stejné jako předtím, a navíc často i krvácející dásně. To rozhodně nepřispívá k motivaci pacienta pravidelně podstupovat profesionální dentální hygienu.
Články
20. 2. 2025 | Zprávy z firem
Dentsply Sirona uvedla na trh Primescan 2, intraorální skener nové generace, který umožňuje skenování přímo do cloudu prostřednictvím jakéhokoliv zařízení připojeného k internetu. Díky cloud-native architektuře, bezdrátovému připojení a vysoké univerzálnosti navazuje Primescan 2 na osvědčenou technologii svého předchůdce.






