3M Dentist of the Future hostí studenty v rámci mezinárodní soutěže
14 studentů reprezentujících 14 univerzit přijelo do zákaznického informačního centra 3M v Seefeldu, Německo, na interaktivní vědecké školení a regionální soutěž založenou na klinických případech a jejich prezentacích.
Prostřednictvím akce Dentist of the Future (Zubní lékař budoucnosti) oslovuje 3M ve spolupráci s předními univerzitami v oblasti CEEMEA, včetně Palackého univerzity v Olomouci a Komenského univerzity v Bratislavě, studenty stomatologie v posledních ročnících vysokoškolského studia.

Cílem programu je představení produktů 3M a pokrokových klinických technologií budoucím stomatologům v době jejich studia formou poskytnutí těchto produktů k použití během studia, podáváním relevantních vědeckých a klinických informací skrze webové stránky programu, přednášky a workshopy, a podpořit mezinárodní součinnost a spolupráci mezi univerzitami.
Studenti zapsaní do programu nahrají klinické případy přímých i nepřímých ošetření na web Dentist of the Future,
a ty si poté mohou prohlížet i ostatní studenti zapojení v programu. Studenti si mohou případy vzájemně komentovat, posílat dotazy a komunikovat mezi sebou. Na konci akademického roku spolu studenti soutěží na univerzitní úrovni v každé zemi o nejlepší zveřejněný klinický případ. Vítěz vybraný každou univerzitou postupuje do oblastního kola soutěže.
Shrnutí akce a vědecký program
Program začal neformální uvítací večeří, při níž se nesmělé úsměvy brzy proměnily v salvy smíchu. Přestože se studenti vzájemně vůbec neznali, pocházeli z různých zemí a kultur, začaly se mezi nimi brzy vytvářet vazby zakládající homogenní skupinu.
Další den začal představením oddělení výzkumu a vývoje 3M, následovala prohlídka celé společnosti, a nakonec soutěž v klinických případech. Každý student byl požádán, aby připravil 7–10minutovou prezentaci svého vítězného klinického případu, při níž byla posuzována složitost, výsledek, fotografické dovednosti, vzhled dokumentace a schopnost případ prezentovat. Studenti také měli možnost hodnotit a poskytnout čerstvou zpětnou vazbu k produktům, které jsou dosud ve fázi vývoje.
Další den začal školením schopností pro prezentace, kde se mohli studenti naučit cenným dovednostem, jak se stát výborným veřejným řečníkem, a následoval workshop Dental Adhesive Research. Poté se studenti zúčastnili praktického kurzu na téma zhotovování přímé frontální výplně, zahrnujícího i tipy a triky pro snazší, reprodukovatelné přirozené estetické výsledky.
Místní studenti reprezentují Českou republiku a Slovensko
Společnost 3M měla tu čest hostit studenty Michala Přibyla z Olomouce a Andreje Orsága z Bratislavy. Oba studenti prezentovali na soutěži klinických případů velmi pěkné kazuistiky.
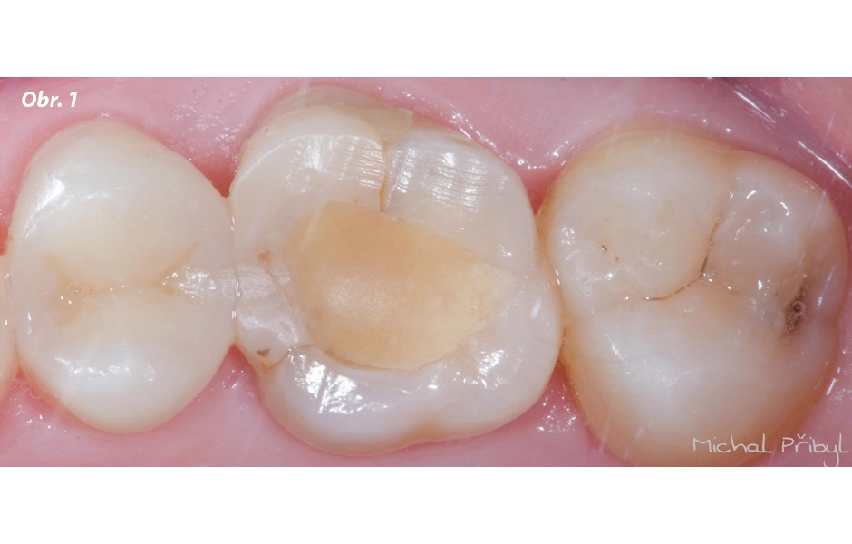
Michal Přibyl prezentoval svůj případ kombinace přímého a nepřímého výplňového ošetření. První, kompozitní overlej na zubu 16 zahájil nasazením kofferdamu a preparací endodonticky ošetřeného zubu (obr. 1, 2). Dentin byl ihned zapečetěn pomocí materiálu Single Bond Universal Adhesive.
Zub byl preparován pro celkovou overlej, přičemž byly ponechány čisté všechny obvodové okraje. Aby byla možná reprodukce čistého okraje, byla umístěna retrakční vlákna (obr. 3), a byl zhotoven otisk z polyéterového materiálu 3M ESPE Soft Monophase.
Poté, co se náhrada vrátila z laboratoře, vyzkoušelo se a zkontrolovalo v ústech její dosednutí. Poté byla nacementována pomocí materiálu RelyX™ U200 Self Adhesive Resin Cement. Byla zkontrolována a upravena okluze (obr. 4, 5).
Andrej Orság prezentoval případ ošetření ve frontálním úseku. Pacient utrpěl výraznou frakturu zubu 21 poté, co kousl do chleba. Po vyšetření byl objeven hluboký kaz, který podminoval sklovinu zubu (obr. 6). Po odstranění kazu a preparaci byla kavita naleptána přípravkem Scotchbond™ Universal Etchant, a jako adhezivum byl nanesen Single Bond Universal.
Zub byl rekonstruován pomocí materiálu Filtek™ Ultimate Universal Restorative v odstínech A2E a A2D a dokončen a vyleštěn pomocí disků Sof-Lex™ XT (obr. 7). Pacient byl za rekonstrukci zubu vděčný!
Program Dentist of the Future v České republice a na Slovensku pokračuje, stejně jako v dalších zemích jako je Litva, Lotyšsko, Polsko, Rumunsko, Maďarsko, Srbsko, Chorvatsko, Turecko a Izrael. Těšíme se na volbu letošních vítězů a jejich návštěvu v 3M v září 2017.
Publikováno: StomaTeam 2/2017

Počáteční situace, zub 16 po endodontickém ošetření

Nasazení kofferdamu a konečná preparace

Umístění retrakčních vláken před otiskováním

Příprava na cementování pomocí materiálu RelyX™ U200 Self Adhesive Resin Cement

Konečný vzhled po úpravě okluze

Počáteční situace – fraktura zubu 21

Konečný výsledek
Buďte v obraze
Chcete mít pravidelný přehled o nových článcích na tomto webu, akcích a dalších novinkách? Přihlaste se k odběru newsletteru.
Odesláním souhlasíte s našimi zásadami zpracování osobních údajů.
Články
5. 8. 2025 | Zprávy z firem
Podle dostupných údajů až 77 % stomatologických profesionálů trpí muskuloskeletálními poruchami, které jsou často způsobeny opakovanými pohyby, nesprávným držením těla a dlouhodobým přetěžováním svalů, kloubů a nervů (Bhatia et al., 2024). Výběr stomatologického vybavení, které podporuje váš způsob práce, je klíčový pro minimalizaci těchto rizik.
Články
27. 2. 2024 | Zprávy z firem
Hlavním řečníkem kongresu, který nese téma Implantáty v estetické zóně, bude uznávaný implantolog Ueli Grunder.
Články
2. 4. 2025 | Zprávy z firem
Když pacient přichází na profesionální dentální hygienu, očekává zlepšení estetiky svého úsměvu. Pokud však nemá povrchové zabarvení zubů, je mnohdy výsledkem zklamán. Po dlouhém sezení, které může být nepříjemné až bolestivé, vidí své zuby stejné jako předtím, a navíc často i krvácející dásně. To rozhodně nepřispívá k motivaci pacienta pravidelně podstupovat profesionální dentální hygienu.
- Zubní sestra Zubní asistentka / asistent Mělník – nástup od ledna 2026
- Zubní lékař Hledáme stomatologa - Frýdek-Místek
- Zubní lékař Přijmeme zubního lékaře/lékařku
- Zubní sestra ASISTENT/KA V ORDINACI - proplacení rekvalifikačního kurzu
- Zubní lékař Vedoucí zubní lékař Dali.Dent. Brno










