Výzva v podobě náhrady horních řezáků
Náhrada chybějících řezáků je velice náročnou procedurou, protože v této oblasti hraje zásadní roli estetika. Hlavním faktorem je zachování gingiválních tkání, především pak u mladých pacientů, u kterých je obvykle vyšší linie horního rtu a tedy viditelnější gingiva. Dosáhnout výborného tvaru papily mezi sousedícími chybějícími zuby při použití implantátů není snadné. Navíc může být problematické také dosažení ideální úrovně marginální gingivy, která závisí na míře úbytku kosti, k němuž došlo vlivem ztráty zubů.

Kazuistika
26letá pacientka navštívila naši ordinaci, protože byla nespokojená s metalokeramickým můstkem na přirozených pilířích ve frontálním úseku horní čelisti. Úzký prostor mezi dvěma pilířovými zuby byl vyplněn jedním mezičlenem a při úsměvu byla viditelná jasná nesymetrie ke středové linii (obr. 1–3).
Po klinickém a radiologickém vyšetření byl vytvořen digitální smile design. Byly posuzovány dvě možnosti ošetření, obě zohledňující minimální vzdálenost mezi dvěma sousedícími implantáty a snažící se zachovat krestální kost mezi nimi (obr. 4, 5):
- Výměna tříčlenného můstku za čtyřčlenný můstek kotvený na dvou implantátech.
• U této možnosti nebylo možno docílit esteticky vyhovujícímu rozměru a tvaru umělých korunek. - Výměna tříčlenného můstku za dvě sólo korunky nahrazující střední řezáky s úpravou tvaru špičáků a premolárů.
• Tato možnost nabízela dosažení funkčního i estetického výsledku.
Druhá možnost ošetření vyhodnocená v podobě digitálního designu úsměvu posloužila jako základ pro přípravu wax-upu (obr. 6–8). Horní řezáky byly obroušeny a tvar obou špičáků a prvních premolárů byl upraven tak, aby bylo dosaženo symetrického vzhledu úsměvu a byl respektován optimální velikostní poměr mezi zuby. Vzhled rekonstrukce byl vyhodnocen společně s pacientkou na intraorálním mock-upu (obr. 9–11).
Pro vytvoření estetické papily mezi implantáty byl augmentován štěp subepiteliálních pojivových tkání (obr. 17). Byly našroubovány dvě vhojovací krytky (obr. 18).
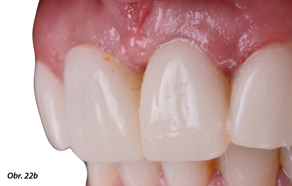
V laboratoři byly připraveny provizorní individuální abutmenty a pryskyřičné provizorní náhrady (obr. 19, 20). Velmi pečlivě se dbalo na přípravu subgingiválního emergence profilu, který měl na gingivální úrovni poskytnout hladký přechod z platformy implantátu na přirozený tvar zubu a podepřít a vytvarovat gingivu kolem implantátu (obr. 21–23).
Po uplynutí 6 měsíců byly měkké tkáně zhojeny a přizpůsobeny provizorním korunkám (obr. 24–26).
Buďte v obraze
Chcete mít pravidelný přehled o nových článcích na tomto webu, akcích a dalších novinkách? Přihlaste se k odběru newsletteru.
Odesláním souhlasíte s našimi zásadami zpracování osobních údajů.
Otiskovací abutmenty byly individualizovány pomocí pryskyřice tak, aby kopírovaly emergence profil měkkých tkání vytvarovaný za dobu hojení s provizorní náhradou a definitivní otisk byl zhotoven technikou pick-up (obr. 27, 28).
Předplaťte si StomaTeam ONLINE a získejte neomezený přístup ke kompletnímu obsahu StomaTeamu.
objednat předplatné- Tarnow D, Elian N, Fletcher P, Froum S, Magner A, Cho SC, Salama M, Salama H, Garber DA. Vertical distance from the crest of bone to the height of the interproximal papilla between adjacent implants. J Periodontol. 2003 Dec;74(12):1785-8.
- Chu SJ, Tarnow DP, Tan JH, Stappert CF. Papilla proportions in the maxillary anterior dentition. Int J Periodontics Restorative Dent. 2009 Aug;29(4):385-93.
Články
2. 4. 2026 | Obecná stomatologie
Za každou rekonstrukční terapií nestojí pouze klinická odbornost, řemeslná preciznost a moderní technologie, ale především člověk. V tomto článku autorský tým popisuje případ mladé pacientky, která se vydala na cestu k novému úsměvu.
Články
3. 6. 2025 | Obecná stomatologie
Třicetiletý celkově zdravý pacient žádal o opravu nevyhovující kompozitní rekonstrukce provedené před 10 lety po traumatu zubu 11. Postižený zub v rámci klinického vyšetření reagoval pozitivně na test vitality. Na rentgenovém snímku nebyla objevena periapikální léze. Klinická korunka vykazovala nežádoucí zbarvení a nacházela se více palatinálně než kontralaterální řezák 21.
Články
12. 8. 2025 | Protetika
Představujeme případ částečné náhrady chrupu ošetřeného pomocí jednoduchého plně digitálního protokolu, který zahrnoval zhotovení implantáty nesených korunkových náhrad (spojených korunek) z hybridního kompozitního materiálu se 42% obsahem keramiky (certifikovaného pro definitivní náhrady) za využití moderní technologie 3D tisku TSLA (tilted stereolithography) na tiskárně DFAB.
- Zubní sestra PŘIJMU ZUBNÍ SESTRU / INSTRUMENTÁŘKU
- Zubní sestra Asistence Praha 6 Břevnov
- Nabídka převzetí zubní ordinace ve Vlašimi
- Zubní lékař Zubní lékař / zubní lékařka – Hranice
- Zubní sestra Hledáme zubní instrumentářku / zubního instrumentáře





