Obnova funkce a estetiky po ztrátě zubních tkání
Jednatřicetiletá pacientka nebyla spokojena se vzhledem svých frontálních zubů. Vestibulárně byla patrná ztráta zubních tkání (ZZT) s exponovaným dentinem (obr. 1–3). Rovněž si stěžovala na bolest v postranním úseku dolního pravého kvadrantu, a navíc na bolest pravého m. masseter. Byly zkoumány možné příčiny tohoto poškození. Byla konzultována dieta pacientky a nebyla zjištěna žádná příčina, která by vysvětlila ZZT. Pacientka rovněž navštívila gastroenterologa, který neodhalil žádné abnormality. Protože pacientka byla veterinářka, pátrali jsme po příčinách z prostředí, jako jsou anestetické plyny, ale tyto byly vyloučeny. Bylo zde podezření na noční parafunkce.

Jelikož příčina ZZT nebyla odhalena, zdráhal jsem se doporučit možnost protetického ošetření pomocí keramických nepřímých náhrad. Pokud by opotřebení pokračovalo, náhrada korunek by byla velmi nákladná z finančního hlediska i z hlediska další ztráty zubních tkání. Doporučil jsem dostavbu zubů pomocí kompozitní pryskyřice, neboť toto by bylo relativně jednoduché a, v případě nutnosti opravy, nenákladné řešení.
Pacientka s tímto léčebným plánem souhlasila a byly zhotoveny fotografie před ošetřením, které zahrnovaly i křížově polarizovaný snímek pro výběr barvy (obr. 4).
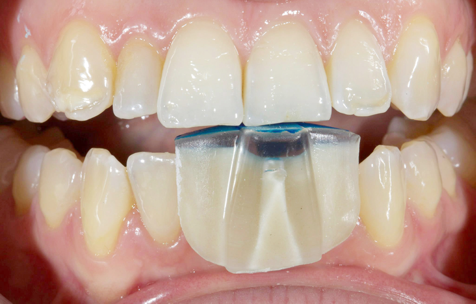
Před sanací frontálních zubů jsme řešili bolest v dolním pravém kvadrantu. Bylo zhotoveno „anterior midpoint stop appliance" (AMPSA) za účelem deprogramování žvýkacích svalů a určení centrálního vztahu (CV), který by byl stabilní a reprodukovatelnou pozicí pro ošetření (obr. 5).
Pacientka nosila AMPSA každou noc po dobu několika týdnů, než bylo znovu dosaženo ověřeného CV za použití archivních modelů (obr. 6). Použitím AMPSA byla vyřešena svalová bolest a byla snížena citlivost.
Publikováno: StomaTeam 1/2018

U pacientky byla zřejmá ztráta tvrdých zubních tkání vestibulárně s odhaleným dentinem

U pacientky byla zřejmá ztráta tvrdých zubních tkání vestibulárně s odhaleným dentinem

Obr. 3: U pacientky byla zřejmá ztráta tvrdých zubních tkání vestibulárně s odhaleným dentinem, Obr. 4: Pro výběr barvy byl zhotoven křížově polarizovaný snímek

K deprogramování žvýkacích svalů a určení centrálního vztahu bylo zhotoveno „anterior midpoint stop appliance“

Pacientka nosila „anterior midpoint stop appliance“ každou noc po dobu několika týdnů, než bylo dosaženo centrálního vztahu, který byl ověřen pomocí archivních modelů
Buďte v obraze
Chcete mít pravidelný přehled o nových článcích na tomto webu, akcích a dalších novinkách? Přihlaste se k odběru newsletteru.
Odesláním souhlasíte s našimi zásadami zpracování osobních údajů.
Zaujala vás ukázka článku?
Celý článek můžete prostudovat v časopisu StomaTeam
Prohlédněte/stáhněte si celý časopis ve formátu PDF ❯Pá 22. 1. 2027 – So 23. 1. 2027 | 2 dny
Články
4. 11. 2025 | Technologie
Dr. Elissa Nasr popisuje léčbu gummy smile pomocí chirurgického prodloužení korunky s využitím digitálního pracovního postupu.
Články
10. 4. 2025 | Ortodoncie
Čím dříve u dětí diagnostikujeme a léčíme problémy s dýchacími cestami, tím větší bude mít léčba přínos pro jejich celoživotní fyzické a mentální zdraví. Jakákoli obstrukce dýchacích cest vede k dýchacím obtížím, včetně dýchání ústy, chrápání, spánkové apnoe, hypopnoe a syndromu zvýšeného odporu horních cest dýchacích (UARS).
Články
3. 7. 2025 | Dental rádio StomaTeam
Pro 61. epizodu podcastu Mezi zuby si jeho tvůrci pozvali do studia MDDr. Jána Jurkemíka, PhD., MPH, MBA, aby pohovořil o využití laseru ve stomatologii i mimo ni. Je to poprvé, co byl host podcastu přítomen přímo ve studiu, takže mohl pro názornost využít videoukázky ze své praxe.
Pá 16. 10. 2026 | 9.00 – 17.00 hod.
- Dentální hygienistka Dentální hygienistka/a do prémiové kliniky v Praze
- Dentální hygienistka Dentální hygienistka v Dejvicích na 1 den v týdnu
- Ostatní STERILIZAČNÍ SESTRA/ ZUBNÍ INSTRUMENTÁŘKA -DPČ 20 hod/týden
- Zubní lékař Hledáme stomatologa - Frýdek-Místek
- Zubní sestra Přijmu zubní instrumentářku









