Castellucci Prague 2026 pozvánka: když se endodontická mikrochirurgie potká s lasery
Po mimořádném úspěchu kongresu Terauchi Prague 2025, který sám Dr. Terauchi označil za nejlepší, jaký zažil, přichází další kapitola.
Castellucci Prague 2026 nebude jen pokračováním – bude výrazným krokem dál.
Praha se i v roce 2026 znovu stane místem světové endodoncie doplněné o špičkové technologie – program otevře Dr. Castellucci celodenní intenzivní přednáškou na téma endodontické mikrochirurgie a celý druhý přednáškový den bude věnovaný laserům a tomu, jak mohou změnit endodoncii i stomatologii vůbec.

Endodontická mikrochirurgie prakticky a jasně
Hlavní tváří kongresu je Dr. Arnaldo Castellucci – legenda světové endodoncie a výjimečná osobnost, která spoludefinovala moderní endodontickou mikrochirurgii.
Jeho koncepty jsou postavené na jednoduše pochopitelných, snadno reprodukovatelných postupech, které přinášejí vysoce prediktabilní výsledky i v těch nejsložitějších klinických případech.
Jak říká Dr. Castellucci: "Nebojte se chirurgie, může vás elegantně zachránit v jinak neřešitelných situacích".
Lasery v endodoncii – podceňovaná budoucnost, která už klepe na dveře
Castellucci Prague 2026 nabídne tři intenzivní kongresové dny, z nichž jeden bude zcela věnován laserům v endodoncii a stomatologii.
Právě lasery dnes zásadně mění způsob, jakým přemýšlíme o léčbě, efektivitě práce i ekonomice ordinace – a tento trend bude jen sílit. S lasery lze mimo jiné neinvazivně bělit nevitální zuby, snímat bez poškození korunky, zlepšit hojení ran a slizničních lézí a v neposlední řadě také výrazně zefektivnit dezinfekci při endodoncii.
I proto se další den na pódiu vystřídá hned trojice světových speakerů zabývajících se laserovými technologiemi.
Druhý den zaměřený na lasery otevře prof. DeMoor (BEL) se svým konceptem laserem aktivované irigace. Po něm vystoupí Dr. Justin Kolnick (USA), součástí jehož přednášky bude i revoluční metoda měření reálné aktivity zánětu pomocí ATP testů, na základě čehož lze identifikovat jak iniciální závažnost postižení, tak také stupeň vyčištění kořenových kanálků po ošetření. Druhý den uzavře Dr. Witkowski (PL), který aktuálně publikuje na téma „no-prep“ laserové endodoncie, což bude i tématem jeho přednášky, stejně jako ekonomická integrace laseru do provozu zubní ordinace v kontextu střední Evropy.
Mikrochirurgickou endodoncii by měl ovládat každý endodontista
Kongres je koncipován tak, aby:
- dal lékařům jistotu při řešení endodontických komplikací, včetně těch vlastních
- ukázal, že endodontická mikrochirurgie je často časově i finančně šetrnější než opakované reendodontické pokusy
- nabídl jednoznačné praktické, klinicky ověřené postupy, nikoli jen teoretické koncepty
- uvedl možnosti laserů v soudobé endodoncii (a nejen v ní)
- zamyslel se nad užitnou hodnotou i marketingovým potenciálem dentálních laserů, a jak je prakticky integrovat do provozu zubní ordinace
Hands-on bez kompromisů
Součástí programu je také výjimečně intenzivní celodenní hands-on kurz endodontické mikrochirurgie. Nejintenzivnější praktický kurz, který byl u nás v tomto oboru organizován, si klade za cíl účastníky doslova vyždímat na retrográdním mikrochirurgickém ošetření až čtyř (!) reálných zubů, od řezáků až po horní i dolní moláry. Cílem organizátora je udělat z hands-on kurzu nezapomenutelný intenzivní zážitek, pro který nemusíte jezdit až do Florencie.
Podrženo sečteno
Teoretický koncept prediktabilní mikrochirurgické endodoncie od A do Z, výjimečně intenzivní hands-on kurz s operačním mikroskopem a na skutečných zubech včetně molárů.
Účastníci kongresu získají zkušenosti jako z legendárních kurzů Dr. Castellucciho ve Florencii.
Jen ve větším měřítku, modernějším kabátku a s přidanou hodnotou laserových technologií a možností se u toho výborně pobavit s kolegy a kamarády.

Castellucci Prague 2026 navazuje na výrazný úspěch loňského kongresu Terauchi Prague 2025

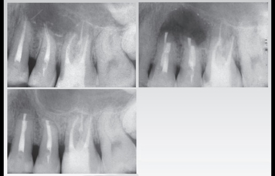
Dr. Castellucciho přístup k mikrochirurgické endodoncii je přímočarý a čistý

…a přináší bezpečné a prediktabilní výsledky v podobě úspěšného hojení

Dr. Castellucci je autorem řady knih, včetně bible endodontické mikrochirurgie

S organizátorem kongresu Castellucci Prague 2026 ve své ordinaci ve Florencii

Arnaldo, jak ho známe nejvíce – usměvavý za okuláry operačního mikroskopu

Celý druhý den bude věnovaný tématice laserů a jejich využití v endodoncii

V Praze druhý den vystoupí tři světoví řečníci, kteří se věnují tématu laserů v endodoncii

Dr. Kolnick, hvězda druhého dne, se tématu laserů věnuje už více než 20 let

Prof. De Moor se zabývá laserovou aktivací výplachu PIPS a SWEEPS

Dr. Witkowski pak představí svůj koncept no-prep laserové endodoncie

Na přihlášené čeká opravdu intenzivní celodenní mikrochirurgický hands-on

Nejen vzděláním je kongresový účastník živ
Stejně jako v minulých ročnících, nebude Castellucci Prague 2026 pouze o odborném programu. Účastníci se mohou těšit na:
- špičkový catering bez „kongresových baget“
- networking s předními osobnostmi české i světové endodoncie
- zábavný společenský program a party s hromadou překvapení
- charitativní přesah, soutěž i luxusní VIP večeře s přednášejícími
To vše jsou atributy, které dělají z kongresu Castellucci Prague 2026 událost, která má potenciál stát se další akcí, na kterou se bude dlouho vzpomínat.
Za Dr. Castelluccim už nemusíte jezdit do Florencie. Stačí přijet do Prahy.
Budeme se na Vás těšit!
Buďte v obraze
Chcete mít pravidelný přehled o nových článcích na tomto webu, akcích a dalších novinkách? Přihlaste se k odběru newsletteru.
Odesláním souhlasíte s našimi zásadami zpracování osobních údajů.
Články
14. 11. 2025 | Interview / reportáž
Po více než dvě desetiletí nastavuje společnost 3Shape laťku digitální stomatologie díky své inovativní technologii a oceňovanému skandinávskému designu. Od skromných začátků jako malý startup až po současné postavení lídra na trhu společnost neustále posouvá hranice možného.
Články
26. 6. 2025 | Interview / reportáž
Prozkoumali jsme pro vás v Česku nově zavedenou službu společnosti Henry Schein s výstižným názvem Direct, která vám umožňuje prohlédnout si dentální vybavení přímo z pohodlí vaší praxe nebo domova. Tato bezplatná služba je určena zubním lékařům a technikům, kteří chtějí efektivně, bez zdlouhavého tápání a „na vlastní oči“ získat přehled o aktuálně nabízených digitálních technologiích a případně rovnou uzavřít výhodný obchod.
Články
25. 1. 2026 | Interview / reportáž
Po mimořádném úspěchu kongresu Terauchi Prague 2025, který sám Dr. Terauchi označil za nejlepší, jaký zažil, přichází další kapitola. Castellucci Prague 2026 nebude jen pokračováním – bude výrazným krokem dál. Praha se i v roce 2026 znovu stane místem světové endodoncie doplněné o špičkové technologie – program otevře Dr. Castellucci celodenní intenzivní přednáškou na téma endodontické mikrochirurgie a celý druhý přednáškový den bude věnovaný laserům a tomu, jak mohou změnit endodoncii i stomatologii vůbec.
- Zubní lékař Stomatolog/Ortodont Praha - Buďte součástí týmu KissDent!
- Dentální hygienistka Dentální hygienistka/hygienista
- Dentální hygienistka Nabídka místa
- Zubní technik PŘIJMEME ZUBNÍHO TECHNIKA
- Zubní lékař Nabídka vybavené zubní ordinace v obci Desná




