Nový úsměv za jeden den
Digitální pracovní postupy mohou zlepšit výsledky naší léčby. V této kazuistice je prezentováno multidisciplinární ošetření pacienta se zaměřením na ordinační pracovní postup a použití keramického materiálu n!ce (Straumann). Je popsána úspěšná rekonstrukce devíti zubů zhotovená přímo v ordinaci (z toho šest zubů v estetické zóně). Zuby a implantáty byly připraveny a naskenovány během rána a finální rekonstrukce byly fixovány ve stejný den. Pacientka získala nový úsměv v mnohem kratší době, než jak tomu bývá u tradičních protokolů, a to byl klíčový faktor v jejím rozhodnutí přijmout léčebný plán exkluzivně s pomocí digitálních řešení Straumann.

Výchozí situace
51letá pacientka, která byla celkově zdravá, navštívila naši kliniku s požadavkem na nový úsměv. Při extraorálním a intraorálním vyšetření bylo zjištěno, že střední linie úsměvu (medium smile line) s fixními náhradami vykazuje mnohočetné recesy v estetické zóně, kariézní léze, zánět, plak a chybějící zuby v oblastech 16, 25, 26, 36 a 45 (obr. 1–5).
Ošetření
Plánování léčby
Po terapii souvisejících příčin (pokyny pro ústní hygienu, profylaxe a zubní výplně) byla pacientka připravena na chirurgickou fázi. Byla naplánována mukogingivální chirurgie ve druhém sextantu za účelem vylepšení růžové estetiky a umístění zubních implantátů do distální oblasti. Dále, po zhojení měkké tkáně, fáze rekonstrukce chrupu: odstranění starých korunek a preparace pilířů na nové náhrady z materiálu n!ce pomocí ordinačního pracovního postupu od Straumann.
Chirurgická fáze
Pět implantátů (Straumann Standard Plus; průměr 4,1 mm, délka 8,0 mm, regular neck, Roxolid, SLActive) byly zavedeny do pozic 16, 25, 26, 36 a 45 v rámci jednoho chirurgického zákroku. Na všechny zavedené implantáty byly umístěny provizorní korunky. Mnohočetné recesy v estetické zóně byly ošetřeny tunelovou technikou za použití pojivového štěpu odebraného z patra. Tuto operaci provedl Dr. Enrique Javer (obr. 6–8).
Protetická fáze
Když se všechny implantáty oseointegrovaly, byly zbývající distální zuby napreparovány na korunky a ve stejné návštěvě byl pořízen digitální otisk intraorálním skenerem Straumann Virtuo Vivo. S použitím softwaru Straumann CARES Visual byly navrženy všechny distální korunky a poté vyfrézovány ordinačním frézovacím strojem Straumann CARES C.
Ve stejný den, po ověření dosedu, byly všechny korunky umístěny a natmeleny. Vzhledem k nové výšce skusu byly dolní premoláry, špičáky a řezáky upraveny kompozitem IPS Empress Direct (Ivoclar Vivadent). Po dalším intraorálním skenování byl navržen nový úsměv pomocí Straumann CARES Visual. Pro digitální wax-up byl použit 3D model vytištěný 3D tiskárnou Straumann P30. Byly pořízeny fotografie k registraci všech údajů potřebných pro konečný návrh rekonstrukcí. Při další návštěvě přišla pacientka na kliniku brzy ráno. Všechny staré korunky byly odstraněny a zuby 24, 25 a 34 byly napreparovány na nové korunky. Intraorální data byla získána pomocí Virtuo Vivo a byla pořízena fotografie obličeje pacientky. Soubory STL digitálního wax-upu, nabroušených zubů a fotografie pacientky byly nahrány do Straumann CARES Visual a byly navrženy definitivní korunky. Po 25 minutách byly návrhy všech korunek odeslány k frézování pomocí frézovacího stroje řady C. Vyfrézované korunky byly dosazeny v ústech pro konečnou kontrolu dosedu (obr. 9–13).
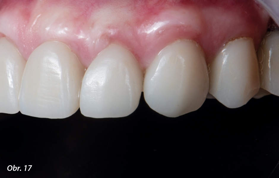
Správný dosed protetických prací byl potvrzen a jenom v několika místech bodů kontaktu bylo potřeba provést drobné úpravy. Korunky byly vyjmuty z úst pacientky a ručně vyleštěny s pomocí OptraFine (Ivoclar Vivadent) (obr. 14 a 15). Všechny korunky byly necementovány s použitím IPS Ceramic Etching Gel (Ivoclar Vivadent) podle protokolu Ivoclar Multilink (obr. 16–21).
Výsledek léčby
Pacientka byla velmi spokojena s funkčním a estetickým výsledkem i krátkou dobou léčby. Konečně dostala svůj nový úsměv v mnohem kratší době, než se původně očekávalo, a to byl klíčový faktor při jejím rozhodování akceptovat náš léčebný plán.
Článek byl publikován v anglické verzi digital international magazine of digital dentistry 1/2020.
Buďte v obraze
Chcete mít pravidelný přehled o nových článcích na tomto webu, akcích a dalších novinkách? Přihlaste se k odběru newsletteru.
Odesláním souhlasíte s našimi zásadami zpracování osobních údajů.
Články
25. 1. 2024 | Zprávy z firem
Dnešní dynamická doba přináší zubním laboratořím mnoho variant výroby skeletových náhrad...
Články
20. 2. 2024 | Implantologie
Autoři zkoumají využití digitálního pracovního postupu a mezioborového plánování ke zlepšení kvality léčby implantáty. Technologie počítačem podporovaného navrhování a počítačem podporované výroby...
Články
27. 11. 2024 | Implantologie
Použití pasivní a aktivní navigace při implantaci umožňuje dosáhnout relativně přesné pozice, hloubky i angulace štoly pro implantát, a tím pádem dobrou prediktabilitu protetického ošetření. Zejména používání operačních šablon pro pasivní navigaci…






























