Bezzubý oblouk horní čelisti: Kritéria pro výběr implantátem kotvené náhrady
Minimálně invazivní stomatologie (MIS) by již měla být normativní filozofií všech zubních lékařů. Tento článek poukazuje na úskalí integrace MIS do praxe a na způsob, jak je překonat, spolu s radami pro praktiky týkajícími se integrace a uplatnění MIS v praxi.

Úvod
Cílem tohoto úvodu je nastínit faktory, které vedou autory ke stanovení léčebného plánu pomocí implantátové protetiky jako volby pro pacienta s totálně bezzubým obloukem v horní čelisti. Kritéria výběru náhrady se budou odvíjet od plánovaného výsledku, kterým bude fixní nebo snímatelná náhrada kotvená implantáty. Nezbytná je analýza estetiky pacientova obličeje pro optimální rehabilitaci úsměvu.
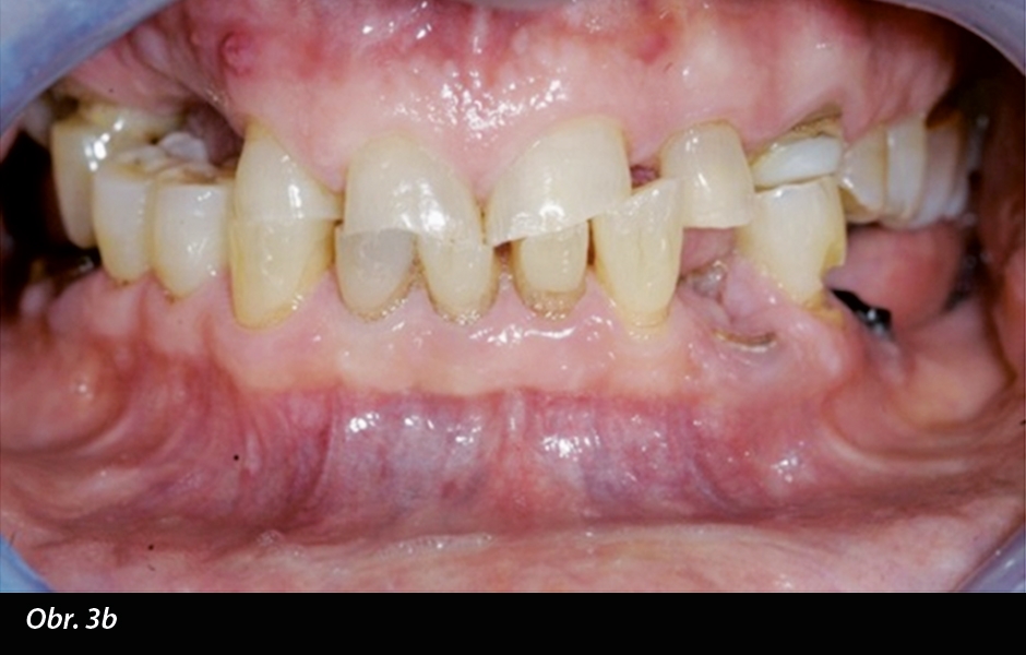
Implantologická protetická léčba se v posledních letech rozšířila a stala se důležitou součástí moderních léčebných plánů jak u zcela bezzubých pacientů, tak u pacientů s částečnou ztrátou chrupu nebo jedním bezzubým obloukem – je zde považována za první volbu v rehabilitační terapii. Nejmodernější implantologie si klade za cíl poskytnout řešení v podobě fixní náhrady bezzubým pacientům, kteří již nosí celkové snímatelné náhrady, nebo pacientům s kompromitovaným zbytkovým chrupem, který již nelze zachránit (obr. 1–5). Tito pacienti se často domnívají, že jedině fixní náhrada kotvená implantáty vyřeší jejich problémy s funkčním komfortem a pocitem pohody. Avšak v mnoha klinických situacích je preferovaným řešením stále náhrada snímatelná. Lze ji považovat za první volbu ošetření implantátovou náhradou zejména v případech, kdy dochází k těžké ztrátě alveolární kosti.
V článku zmíníme anatomické aspekty obličejové estetiky spolu s pokyny pro výběr a návrh kompletní implantologické rekonstrukce v bezzubém oblouku horní čelisti nebo v chrupu s neopravitelně poškozenými zuby. Porovnáme možnosti, které ovlivňují naše rozhodování při výběru fixní nebo snímatelné náhrady a klinické a technické postupy při uplatnění těchto terapií.
Estetika obličeje: role rtů
Zubní lékař s moderním pohledem na své povolání si musí být vědom toho, že kterákoliv rehabilitační terapie bude mít dopad nejen na oblast ústní dutiny pacienta, ale i na jeho psychickou rovnováhu. Znalost základních principů obličejové estetiky a znalost diagnostiky negativních etiologických faktorů estetiky je nezbytná pro hodnocení různých terapeutických řešení v oblasti rehabilitační protetiky. V estetice obličeje a harmonii úst, obecněji úsměvu, jsou pevný tonus a plně podepřené periorální tkáně synonymem krásy (obr. 6). Rty jsou jedním ze stěžejních bodů estetiky obličeje.
Klinická analýza tvaru a velikosti rtů musí být zaznamenána z pohledu frontální i sagitální roviny: Z pohledu frontální roviny se hodnotí podle objemu viditelné retní červeně a tvaru labiálních komisur (velmi důležitý aspekt pro klinické stanovení optimálního vertikálního rozměru). Průměrná výška červeně horního rtu u mužů je asi 7,4 mm – u žen je to asi 7,7 mm. Průměrná výška červeně spodního rtu je asi 10 mm. Harmonický poměr mezi velikostí červeně horního a spodního rtu tedy spočívá v tom, že spodní ret je o cca 30 % vyšší než ret horní.
V sagitální rovině se sleduje objem, množství viditelné červeně a tonus tkání, ale nejdůležitějším aspektem, který není možno přehlédnout, je tvar a podpěra svislého žlábku vedoucího od nosní přepážky k hornímu rtu (tzv. philtrum) (obr. 7). Tato anatomická oblast je na základě pozorování v sagitální rovině definována jako nazolabiální úhel, tedy úhel mezi tečnou základny nosu a linií tvořenou vnějším okrajem horního rtu (obr. 8). Nazolabiální úhel by měl být asi 90 stupňů, i když se velmi liší v závislosti na kosterním typu. Obecně platí, že vyšší hodnoty úhlu (větší než 90°) indikují ústup labiálního philtra, což může mít za následek zhoršení profilu pacienta.
Dalším diagnostickým prostředkem pro analýzu nazolabiálního úhlu je laterální teleradiografie umožňující studium měkkých a tvrdých tkání lebky, které hrají velmi důležitou roli v estetice obličeje (obr. 9). Teleradiografie musí disponovat vysokou technickou kvalitou, aby zvýraznila měkké tkáně profilu, jejichž morfologie je výlučně závislá na podkladové kosti a zubech. Přesněji řečeno, studie pomocí teleradiografie má za cíl spojení prostorové pozice horního středního řezáku se rtem a bází čelistní kosti.
Pokud je ztráta objemu čelistní kosti rozsáhlá a nelze ji obnovit chirurgickými rekonstrukčními zákroky, nebo pacient chirurgický zákrok omítá, je snímatelná náhrada jediný prostředek k optimální estetické rekonstrukci úsměvu.
U zcela bezzubého pacienta je kostní resorpce horní čelisti dostředivá a probíhá nepřetržitě po dobu jednoho až tří let u pacienta, který nosí snímatelnou náhradu. Právě tato ztráta kostní struktury je často příčinou alterace nazolabiálního úhlu a ztráty normální anatomie v sagitální rovině s těžkým narušením estetiky profilu pacienta (obr. 10). V případě, že náhrada nepodpírá oblast philtra, je možno pozorovat „kachní“ vzhled horního rtu (příznak zlomeného retního žlábku), který kazí celkovou estetiku dolní třetiny obličeje (obr. 11).
Buďte v obraze
Chcete mít pravidelný přehled o nových článcích na tomto webu, akcích a dalších novinkách? Přihlaste se k odběru newsletteru.
Odesláním souhlasíte s našimi zásadami zpracování osobních údajů.
Protetická typologie
Dnešní avantgardní modalita předpokládá, že zubní lékař disponuje nesčetnými protetickými možnostmi rehabilitace bezzubé horní čelisti pomocí endoseálních implantátů. Implantátem kotvené náhrady jak fixní, tak i snímatelné, lze klasifikovat několika způsoby. Misch klasifikuje následující typy protetiky:
Předplaťte si StomaTeam ONLINE a získejte neomezený přístup ke kompletnímu obsahu StomaTeamu.
objednat předplatné
Články
1. 12. 2025 | Implantologie
Aspergilóza je nejčastější příčinou oportunních mykotických infekcí u imunokompromitovaných jedinců a může být klasifikována jako invazivní nebo neinvazivní.
Články
3. 6. 2025 | Obecná stomatologie
Třicetiletý celkově zdravý pacient žádal o opravu nevyhovující kompozitní rekonstrukce provedené před 10 lety po traumatu zubu 11. Postižený zub v rámci klinického vyšetření reagoval pozitivně na test vitality. Na rentgenovém snímku nebyla objevena periapikální léze. Klinická korunka vykazovala nežádoucí zbarvení a nacházela se více palatinálně než kontralaterální řezák 21.
Články
14. 11. 2025 | Implantologie
Moderní stomatologie prochází technologickou revolucí, kterou pohání integrace pokročilých digitálních nástrojů v diagnostice, plánování a léčbě. Mezi nimi se počítačem řízená implantologie stala základním pilířem, zejména u složitých výkonů, jako jsou estetické rekonstrukce a celková rehabilitace čelistního oblouku.









